Giải đáp: Có nên hàn răng bằng Composite không?
Hàn răng Composite có đắt không? Hàn răng Composite sử dụng cho những trường hợp nào? Ưu và nhược điểm của hàn răng Composite là gì?... Đó là băn khoăn của rất nhiều khách hàng đang có nhu cầu hàn răng Composite. Để giải đáp những thắc mắc ấy, nha khoa Wilson gửi tới độc giả bài viết dưới đây, với đầy đủ thông tin về hàn răng bằng vật liệu Composite!
-
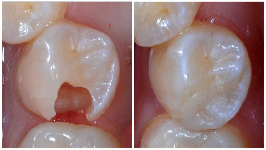
Hàn răng Composite là gì?
Hàn răng Composite là kỹ thuật sử dụng chất liệu tổng hợp trong nha khoa có tên gọi là Composite để trám bít vào những vị trí bị khuyết trên răng, để khắc phục tình trạng răng thưa, răng sâu, răng sứt mẻ.
Vật liệu thường được sử dụng trước đây là Amalgam ( có màu bạc) hoặc hàn bằng kim loại. Tuy nhiên, theo thời gian 2 vật liệu này không thể đáp ứng được nhu cầu về thẩm mỹ nên đã được thay thế bằng Composite.

-
Đối tượng hàn răng Composite
Tuỳ thuộc vào vị trí răng, nhu cầu của khách hàng mà bác sĩ sẽ tư vấn loại vật liệu phù hợp. Những trường hợp khách hàng nên sử dụng Composite có thể kể đến như:
Sâu răng cửa
Sâu răng là bệnh lý thường gặp đối với người dân Việt Nam. Đó là sự xuất hiện của các đốm đen, nâu, lỗ hổng lớn trên bề mặt răng. Đối với trường hợp sâu răng hàm, không yêu cầu tính thẩm mỹ nhiều thì khách hàng có thể lựa chọn hàn bằng Amalgam. Tuy nhiên, đối với các răng cửa, đòi hỏi thẩm mỹ thì khách hàng nên lựa chọn Composite vì vật liệu này có màu sắc tương đồng với răng thật của khách hàng.
Răng bị sứt mẻ
Răng sứt mẻ xuất phát do nhiều nguyên nhân, có thể do chấn thương, do cắn thức ăn quá cứng….Đa số răng sứt mẻ là răng cửa, không còn giữ được hình dạng như ban đầu, ảnh hưởng đến quá trình an nhai. Biện pháp hiệu quả lúc này chính là hàn răng Composite để giúp cải thiện tình trạng của răng.
Răng thưa
Đối với trường hợp răng thưa, răng hở kẽ dưới 2mm khách hàng cũng có thể thực hiện hàn răng bằng Composite để ngăn ngừa sự tích tụ của vi khuẩn ở kẽ răng và đảm bảo tính thẩm mỹ cho hàm răng.
-
Ưu, nhược điểm khi trám răng bằng Composite
Hàn răng Composite là phương pháp hàn răng được sử dụng tương đối phổ biến hiện nay. Những ưu điểm khi hàn răng bằng Composite mà khách hàng có thể kể đến như:
Ưu điểm:
Phục hình thẩm mỹ tối đa
Chất hàn Composite có màu trắng giống như màu răng thật. Việc này sẽ giúp cho khách hàng khó để phân biệt giữa răng thật và răng hàn. Giúp đảm bảo thẩm mỹ một cách tối đa.

An toàn, không kích ứng mô nướu
Hàn răng Composite được đánh giá là phương pháp hàn răng hiệu quả có thể thay thế kim loại bởi vật liệu này không tham gia vào phản ứng hoá học của môi trường miệng, không gây kích ứng, không độc hại. Đối với những vật liệu cũ khác hàng có thể gặp phải tình trạng hôi miệng, oxy hoá vật liệu hàn… Nhưng với Composite thì hiện tượng đó hoàn toàn không xảy ra.
Không xâm lấn
Nhựa Composite cho khả năng bám dính trực tiếp lên thân răng. Nhờ vậy sẽ không cần phải mài thêm men răng, không xâm lấn tới các phần mô khoẻ mạnh. Phần nào của răng bị hỏng thì bác sĩ sẽ hàn lại, không cắt xén thêm thân răng khỏe mạnh.
Không có thủy ngân
Hàn răng bằng Composite hoàn toàn không có thuỷ ngân, nên sẽ đảm bảo an toàn ở mức tối đa cho khách hàng.
Khuyết điểm:
Mặc dù là vật liệu hàn răng rất phổ biến, tuy nhiên Composite vẫn tồn tại nhiều nhược điểm nhất định, bao gồm:
Độ bền vẫn còn hạn chế
Theo như nghiên cứu thì độ bền của Composite tương đối kem, chỉ khoảng 2 – năm, thấp so với các vật liệu hàn.
Có độ co ngót nhất định
Vật liệu hàn có độ co ngót nhất định, trong trường hợp bác sĩ không tính toán kỹ lưỡng thì sau một thời gian sử dụng miếng trám có thể bị co ngót để hở vết sâu.
-
Hàn răng bằng Composite có bền không?
Mặc dù miếng trám Composite có ưu điểm về tình thẩm mỹ. Tuy nhiên, tuổi thọ của miếng trám chỉ kéo dài từ 2 – 3 năm, nếu được chăm sóc tốt có thể kéo dài từ 3 – 5 năm. So với các vật liệu khác thì Composite có tuổi thọ thấp hơn nhiều.
Theo nhiều nghiên cứu cho thấy, nếu để kéo dài tuổi thọ của răng khách hàng nên lựa chọn vật liệu hàn Amalgam, tỷ lệ tái phát sâu răng cũng thấp hơn.
Tuy nhiên, nhiều ý kiến chuyên gia vẫn cho rằng hàn răng bằng Composite vẫn là sự lựa chọn tốt bởi chúng đáp ứng nhiều tiêu chí khác về thẩm mỹ, độ an toàn.

-
Trám răng Composite giá bao nhiêu tiền?
Chi phí để hàn răng Composite tại nha khoa Wilson hiện nay sẽ dao động từ 100.000 – 300.000 VNĐ/ mối hàn. Tuỳ thuộc vào độ sâu và vị trí răng bị sâu mà mức phí này sẽ là khác nhau. Đây là mức phí phù hợp thu nhập của đa số khách hàng.
Với mức chi phí này, khách hàng nên thực hiện hàn răng càng tốt, tránh để trường hợp răng sâu vào đến tuỷ, khi này sẽ phải thực hiện điều trị tủy( một thủ thuật ảnh hưởng không tốt đến sức khỏe răng miệng).
-
Những lưu ý khi hàn trám răng bằng Composite
Răng sau khi đã hàn mà không bị đau hay ê buốt thì coi như khách hàng đã thành công được 50%. Để tăng độ bám dính trên răng sau khi hàn Composite khách hàng nên chú ý những điều sau:
- Hạn chế dùng thực phẩm quá nóng hoặc quá lạnh.
- Hạn chế dùng thức ăn có màu đậm như: Cà phê, nghệ…gì các chất này sẽ khiến miếng trám răng bị biến đổi màu.
- Hạn chế những hành động nhai, cắn mạnh khiến cho miếng trám bị bong bật.
- Vệ sinh răng miệng sạch sẽ, đánh răng và sử dụng tăm chỉ nha nhẹ nhàng.
- Cải thiện triệu chứng nghiến răng vì hành động này ảnh hưởng không tốt đến miếng trám.
Trên đây là những thông tin liên quan đến vấn đề “ Hàn răng Composite”. Nếu khách hàng còn bất cứ thắc mắc nào hãy liên hệ với nha khoa Wilson để được bác sĩ tư vấn, thăm khám trực tiếp nhé!
Bài cùng danh mục
0933 08 0099
Đặt lịch hẹn





