Top 3 cách chữa răng hô nhẹ không cần niềng
Top 3 cách chữa răng hô nhẹ không cần niềng Răng hô nhẹ là tình trạng các răng hàm trên mọc chìa ra ngoài so với hàm dưới. Răng hô...
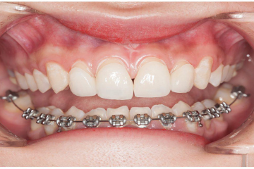
Ưu và nhược điểm của tất cả các loại mắc cài niềng răng
Niềng răng mắc cài là gì? Niềng răng mắc cài là phương pháp chỉnh nha sử dụng hệ thống mắc cài được làm từ kim loại, sứ hoặc pha lê...
Đâu là giai đoạn xấu nhất khi niềng răng? Cách cải thiện thế nào?
5 giai đoạn của quá trình niềng răng Niềng răng là phương pháp hữu hiệu nhất hiện nay được nhiều khách hàng lựa chọn để điều chỉnh răng hô, móm,...
Niềng răng silicon có hiệu quả không? Những ai nên niềng răng Silicon?
Niềng răng Silicon là gì? Niềng răng silicon hay còn được gọi là niềng răng trainer, đây là kỹ thuật chỉnh nha sử máng niềng được làm bằng chất liệu...
Dây cung niềng răng là gì? Tác dụng của dây cung trong niềng răng
Dây cung niềng răng là gì? Cùng với hiểu chính xác niềng răng là gì, khi niềng răng bạn cũng cần hiểu rõ dây cung niềng răng là gì? Tác...
Niềng răng 1 hàm giá bao nhiêu tiền? Những trường hợp niềng răng một hàm
Niềng răng 1 hàm là gì? Trước khi tìm hiểu về giá niềng răng 1 hàm giá bao nhiêu tiền, chúng ta cần tìm hiểu niềng răng 1 hàm là...
Giai đoạn vàng niềng răng cho trẻ em, phụ huynh tuyệt đối đừng bỏ qua
Niềng răng trẻ em là gì? Khi đã hiểu rõ bản chất của niềng răng là gì, thì bạn cũng dễ dàng hiểu niềng răng cho trẻ em là thế...
Niềng răng mắc cài pha lê là gì? Chi phí bao nhiêu?
Niềng răng mắc cài pha lê là gì? Niềng răng mắc cài pha lê có nguyên lý hoạt động giống niềng răng truyền thống. Phương pháp niềng này tạo ra...
Niềng răng thưa là gì? Những phương pháp niềng răng thưa hiệu quả?
Niềng răng thưa là gì? Cũng giống như niềng răng là gì? Niềng răng thưa là phương pháp chỉnh nha sử dụng hệ thống hệ thống mắc cài cố định...
Niềng răng là gì? Có nên niềng răng không?
Niềng răng là gì? Trước khi tìm hiểu có nên niềng răng không, chúng ta cần nắm rõ bản chất của phương pháp niềng răng. Niềng răng là kỹ thuật...
Niềng răng mắc cài kim loại là gì? Quy trình niềng răng
Niềng răng mắc cài kim loại là gì? Khi chúng ta đã nắm rõ niềng răng là gì thì cũng dễ dàng hiểu về phương pháp niềng răng mắc cài...
Niềng răng giá rẻ được quảng cáo tràn lan có tốt không?
Niềng răng là gì? Niềng răng hay còn được gọi là chỉnh nha, là phương pháp dùng lực kéo của các khí cụ chỉnh nha chuyên dụng như dây cung,...
bài Xem nhiều
0933 08 0099
Đặt lịch hẹn














![[THÔNG BÁO] – LỊCH NGHỈ LỄ 30/4 – 1/5/2024](https://nhakhoawilson.vn/wp-content/uploads/2024/04/Web-bai-viet-700x500-1-263x175.jpg)