Bọc răng sứ phần chân răng bị hở do nguyên nhân nào?
Bọc răng sứ phần chân răng bị hở là một trong những sự cố thường gặp phải sau khi phục hình răng khiến nhiều người lo lắng. Vậy nguyên nhân của tình trạng này là gì, cần làm gì để khắc phục? Câu trả lời sẽ được giải đáp qua bài viết dưới đây của Nha khoa Wilson.
-
Bọc răng sứ phần chân răng bị hở có những dấu hiệu nào?
Bạn hoàn toàn có thể nhận biết tình trạng bọc răng sứ phần chân răng bị hở qua một số dấu hiệu sau:
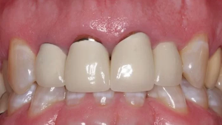
Phần răng sứ với nướu xuất hiện khe hở
Chỉ cần chú ý quan sát bằng mắt thường, bạn hoàn toàn có thể phát hiện tình trạng bọc răng sứ bị hở chân. Cách thực hiện rất đơn giản, bạn chỉ cần dùng lưỡi chạm vào chân răng hoặc soi gương, nếu nhận thấy đường tiếp giáp giữa nướu và răng sứ có kẽ hở thì chứng tỏ chân răng đã bị hở. Kẽ hở này nếu không được xử lý sẽ tạo điều kiện cho thức ăn mắc vào, vi khuẩn xâm nhập, gây ra đau nhức, sưng tấy, viêm nhiễm…
Chân răng xuất hiện vệt đen
Với những trường hợp bọc răng sứ kim loại, một dấu hiệu nhận biết bọc răng sứ bị hở chân đó chính là đường chân răng bị đen. Khi phần bọc sứ kim loại bị hở sẽ tạo ra khoảng trống và nướu răng, điều này sẽ khiến quá trình oxy hóa đẩy mạnh, dẫn đến đen chân răng.
Tụt nướu và lộ cùi răng sứ
Khi bọc răng sứ phần chân răng bị hở, khe hở được ra tạo ra khiến vi khuẩn xâm nhập, tấn công, gây kích ứng nướu, lâu dần dẫn đến tình trạng tụt nướu. Cụ thể là phần chân răng sẽ bị lộ ra, dấu hiệu này thường rõ nhất là ở vị trí răng nanh, răng cửa.
Đau nhức, ê buốt và khó chịu khi nhai
Một dấu hiệu dễ dàng nhận biết nữa đó chính là cảm giác đau nhức, ê buốt, khó chịu trong quá trình ăn uống. Khi răng sứ bị hở, cùi răng sẽ yếu và nhạy cảm, do đó khi ăn nhai, răng sẽ có cảm giác đau, ế buốt cho người bệnh.
Kẽ chân răng rất dễ bị dắt thức ăn
Việc bọc sứ sai phương pháp, quy trình và tỷ lệ chuẩn sẽ dẫn đến việc kẽ răng chật chội hoặc rộng hơn so với tiêu chuẩn, do đó khi ăn uống, cặn thức ăn rất dễ dắt vào, gây cảm giác vướng víu, nếu không được vệ sinh cẩn thận, kỹ lưỡng thì đây sẽ trở thành nơi trú ẩn của vô số các vi khuẩn có hại.

Với những trường hợp bọc răng sứ kim loại, bọc răng sứ bị hở chân đó chính là đường chân răng bị đen
-
Bọc răng sứ phần chân răng bị hở do những nguyên nhân nào?
Bọc răng sứ bị hở chân do bác sĩ thực hiện sai kỹ thuật
Việc bác sĩ thực hiện bọc sứ sai kỹ thuật cũng là một trong những nguyên nhân chính dẫn đến hở chân răng. Quy trình thực hiện bọc sứ yêu cầu sự tỉ mỉ, cẩn thận trong thao tác cũng như đảm bảo tỷ lệ chuẩn. Vì vậy, nếu bác sĩ nha khoa yếu chuyên môn, chưa có nhiều kinh nghiệm thực hiện, phán đoán sai tỉ lệ và mài đi quá nhiều cùi răng thật sẽ gây tổn thương chân răng. Khi chân răng bị yếu, răng bọc sứ cũng sẽ bị hở, tình trạng tụt nướu sẽ diễn ra.

Bọc răng sứ bị hở chân do bác sĩ thực hiện sai kỹ thuật
Chế tác sai kích thước răng sứ
Việc chế tác sai kích thước răng sứ thường do kỹ thuật lấy dấu hàm chưa chính xác. Ngoài ra, nguyên nhân cũng có thể do dụng cụ được sử dụng để lấy dấu hàm còn sơ sài, thô sơ, không hiện đại, chất lượng dẫn đến chế tác mão sứ sai kích thước. Nếu mão sứ to hơn cùi răng thật, lúc này khe hở sẽ được tạo ra.
Bọc răng sứ hở chân răng do chất lượng răng kém
Răng sứ kém chất lượng, không rõ nguồn gốc sẽ dẫn đến rất nhiều hậu quả nghiêm trọng, trong đó có thể kể đến là tình trạng kích ứng nướu và cùi răng, nướu sưng lên sẽ đẩy răng sứ lên cao và xuất hiện các khe hở.
Bọc sứ hở do keo dán kém chất lượng
Khi thực hiện các phương pháp phục hình nha khoa thẩm mỹ, vật liệu đóng vai trò rất quan trọng. Và đối với quy trình bọc răng sứ, không chỉ phần chất liệu răng mà keo dán nha khoa sử dụng cũng sẽ ảnh hưởng tới hiệu quả của quá trình bọc sứ. Keo dán sứ sẽ có chức năng là cố định, tạo sự chắc chắn cho răng sứ. Trong trường hợp keo dán nha khoa sử dụng kém chất lượng hoặc dùng không đủ tiêu chuẩn sẽ khiến răng sứ bị hở sau một thời gian sử dụng.
Chăm sóc răng miệng sai cách
Đôi khi tình trạng hở chân răng sau khi bọc răng sứ không chỉ do nguyên nhân từ phía quá trình thực hiện sai cách mà cả chế độ chăm sóc sau đó. Nếu việc vệ sinh răng miệng không được thực hiện kỹ càng, cẩn thận, đung cách, cụ thể nếu bạn chải răng quá mạnh, sai kỹ thuật cũng sẽ khiến răng sứ bị mài mòn dần, lâu ngày sẽ dẫn đến hở nướu chân răng.
-
Bọc răng sứ phần chân răng bị hở khắc phục như thế nào?
Để khắc phục tình trạng răng sứ bị hở chân, cách tốt nhất là nên tháo răng sứ ra và lắp lại. Thông thường sẽ có 2 trường hợp để khắc phục, 2 trường hợp này được phân loại tùy thuộc vào nguyên nhân và mức độ răng sứ bị hở ra sao.
- Với trường hợp răng sứ bị hở, kênh do lắp sai kỹ thuật: Với trường hợp này thì bạn cần đến nha khoa để các bác sĩ tháo ra và lắp lại răng sứ. Như vậy, bạn không cần phải tốn kém thêm chi phí chế tạo răng sứ mới, tình trạng hở chân răng cũng sẽ được nhanh chóng khắc phục.
- Răng sứ bị hở chân do phần mão sứ chế tạo sai tỷ lệ và kích thước: Trong tình huống này, người bệnh buộc phải thực hiện tháo răng sứ cũ, lấy lại dấu răng và chế tạo răng sứ mới hoàn toàn.
Bên cạnh những nguyên nhân do quá trình thực hiện bọc răng sứ đã nêu ở trên thì vẫn còn tồn tại những nguyên nhân do chủ quan từ phía người dùng. Do đó, để phòng tránh tình trạng này, người bệnh cần lưu ý:
- Khi bọc răng sứ cần chủ động tìm hiểu, lựa chọn nha khoa uy tín để tránh những sai sót đáng tiếc có thể xảy ra.
- Vệ sinh và chăm sóc răng miệng đúng cách theo hướng dẫn của bác sĩ, cụ thể, thao tác đánh răng cần nhẹ nhàng, chải răng đúng cách bằng bàn chải lông mềm kết hợp nước súc miệng sát khuẩn và chỉ nha khoa, chỉ như vậy, khoang miệng của bạn mới sạch sẽ

Răng sứ bị hở chân do phần mão sứ chế tạo sai tỷ lệ và kích thước cần bọc lại răng sứ mới
Trên đây là một số những chia sẻ của Nha khoa Wilson về nguyên nhân và cách khắc phục tình trạng bọc răng sứ phần chân răng bị hở. Hy vọng những thông tin này của chúng tôi sẽ giúp ích cho bạn và giúp giải đáp những thắc mắc về tình trạng này.
Bài cùng danh mục
0933 08 0099
Đặt lịch hẹn





