Hướng dẫn cách lấy cao răng đen tại nhà
Những mảng bám cao răng hình thành chủ yếu ở vị trí chân răng, dưới nướu. Ban đầu chúng có màu vàng sẫm, tuy nhiên, sau một thời gian chúng chuyển màu nâu đen. Cao răng đen không chỉ gây mất thẩm mỹ mà còn tiềm ẩn nguy cơ về các bệnh lý răng miệng. Bài viết dưới đây của hệ thống nha khoa Wilson sẽ hướng dẫn cách lấy cao răng đen tại nhà đơn giản để làm sạch miệng và ngăn ngừa các biến chứng.
-
Tìm hiểu về tình trạng cao răng đen?
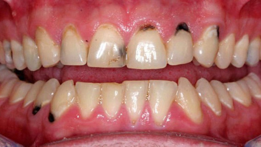
Cao răng bị đen là tình trạng mà lớp mảng bám hình thành trên răng do quá trình tích tụ của mảnh vụn thức ăn hàng ngày mà không được vệ sinh làm sạch. Ở cấp độ này, thông thường lớp cao răng đen khá dày, cứng do bị vôi hóa trong môi trường axit của khoang miệng.
Cao răng đen cứng thường sẽ rất khó làm sạch được bằng các biện pháp vệ sinh răng miệng thông thường. Thậm chí, nếu cố chải răng mạnh sẽ gây ra những tổn thương ở vùng nướu, khiến chảy máu chân răng.

Cao răng bị đen là tình trạng mà lớp mảng bám hình thành trên răng do quá trình tích tụ của mảnh vụn thức ăn hàng ngày mà không được vệ sinh làm sạch
-
Những ảnh hưởng của cao răng đen đối với răng miệng
Thông thường, nếu tình trạng vôi răng ở mức độ nhẹ sẽ không gây ảnh hưởng đến sức khỏe răng miệng nếu được làm sạch đúng cách thì răng miệng sẽ được bảo vệ một cách tối ưu. Tuy nhiên, nếu xuất hiện cao răng bị đen thì tức là tình trạng đã tiến triển ở giai đoạn nặng hơn, có khả năng gây tổn thương cho răng lợi và gây ra nhiều bệnh nguy hiểm khác cho sức khỏe răng miệng.
Dưới đây là những ảnh hưởng của cao răng đen đối với răng miệng mà bạn cần lưu ý:
Cao răng đen gây ra tình trạng viêm nướu, viêm nha chu
Cao răng là nguyên nhân cơ bản dẫn đến tình trạng chảy máu chân răng, tụt lợi, hôi miệng, viêm nhiễm vùng nướu lợi. Đặc biệt, nếu cao răng bị đen dày và cứng sẽ chứa cả ổ vi khuẩn gây hại cho răng lợi, khiến tình trạng viêm lợi trở nên trầm trọng hơn. Gây ra các tổn thương ở tổ chức nha chu, tổ chức năng đỡ răng khiến răng yếu dần, ảnh hưởng lớn đến sức khỏe răng miệng của người bệnh.
Cao răng đen gây tình trạng tụt nướu, tụt lợi
Cao răng đen sẽ gây đứt gãy các mô liên kết giữa răng và nướu, dẫn đến tình trạng tụt nướu lợi, hở cổ chân răng, từ đó gây nguy cơ mòn chân răng khiến cho răng bị ế buốt, đau nhức dai dẳng.
Nguy cơ tiêu xương hàm, mất răng
Vi khuẩn ở các mảng bám cao răng sẽ tấn công vào vùng nướu lợi, nếu không được điều trị và ngăn chặn kịp thời thì sẽ tiếp tục tấn công vào vùng xương hàm bên dưới răng khiến chúng dần tiêu biến. Khi xương hàm bị tiêu thì răng mất dần các mô nâng đỡ bên dưới, từ đó sẽ khiến cho răng dần lung lay và gãy rụng gây mất răng vĩnh viễn.

Cao răng đen có khả năng gây tổn thương cho răng lợi và gây ra nhiều bệnh nguy hiểm khác cho sức khỏe răng miệng.
-
Hướng dẫn lấy cao răng đen tại nhà đơn giản
Đánh răng hàng ngày thực tế không thể làm sạch được cao răng đen nên lúc này, bạn cần áp dụng các giải pháp lấy cao răng để làm sạch khoang miệng hiệu quả hơn. Hiện nay, có nhiều người thực hiện các cách lấy cao răng đen tại nhà vừa thực hiện đơn giản lại tiết kiệm chi phí. Dưới đây là 2 giải pháp lấy cao răng bị đen tại nhà được áp dụng phổ biến, an toàn và dễ thực hiện mà bạn có thể áp dụng:
Cách lấy cao răng đen tại nhà bằng chanh
Chanh có thành phần axit có tác dụng làm mềm lớp cao răng cứng bám trên trên bề mặt của răng, do đó nó sẽ giúp loại bỏ vôi răng, các mảng bám một cách dễ dàng. Cách thực hiện của phương pháp này cũng rất đơn giản, bạn chỉ cần sử dụng bàn chải đánh răng nhúng nước cốt chanh, chải răng như bình thường hoảng từ 2 đến 3 phút, sau đó súc miệng lại thật sạch với nước để làm giảm lượng axit trong khoang miệng.
Phương pháp này bạn chỉ nên áp dụng 1 tuần/lần bởi axit trong chanh có tác động mạnh với men răng tự nhiên, nếu tiếp xúc nhiều sẽ khiến răng có nguy cơ bị mòn men răng.
Lấy cao răng đen tại nhà với baking soda
Baking soda được biết đến như là một chất tẩy rửa nhẹ được áp dụng hiệu quả để làm trắng răng, giúp loại bỏ mảng bám cao răng cứng đầu, đồng thời tạo môi trường kiềm, ức chế vi khuẩn gây hại trong khoang miệng.
Cách thực hiện lấy cao răng đen bằng baking soda tương tự như khi đánh răng thông thường, bạn chỉ cần thêm chút baking soda lên kem đánh răng, sau đó thực hiện chải răng trong vòng 2 đến 3 phút và súc miệng lại với nước sạch.
Tuy nhiên, giải pháp dùng baking soda có thể gây hại cho men răng nếu sử dụng trong thời gian dài, do đó bạn chỉ nên sử dụng baking soda 1 tuần/lần để lấy cao răng.
-
Lấy cao răng đen tại nhà không có thực sự hiệu quả không?
Lấy cao răng bị đen lại nhà với những nguyên liệu tự nhiên, dễ áp dụng như :chanh, baking soda hay các biện pháp khác chỉ mang tính chất tạm thời và không dứt điểm. Bởi việc tự lấy cao răng tại nhà chỉ có thể giúp bạn làm sạch một lượng nhỏ cao răng ở vị trí dễ nhìn thấy và cao răng mềm. Nếu tình trạng cao răng đen, cứng và đã lan sâu xuống dưới nướu thì rất khó làm sạch dù thực hiện lấy cao răng tại nhà nhiều lần.
Không những thế, việc bạn thực lấy cao răng bị đen tại nhà sai cách, tần suất quá nhiều hoặc răng quá nhạy cảm thì những nguyên liệu từ thiên nhiên này còn gây ra những tổn thương nghiêm trọng ở men răng và nướu lợi. Khi đó không những không làm sạch được cao răng đen mà gây ra những biến chứng nguy hiểm khác, gây khó khăn cho quá trình điều trị răng sau này.

Những cách lấy cao răng bị đen lại nhà chỉ mang tính chất tạm thời và không dứt điểm.
Theo lời khuyên của các chuyên gia, chúng ta không nên tự lấy cao răng tại nhà mà nên đến nha khoa tổng quát để bác sĩ chuyên khoa thăm khám, tư vấn thực hiện làm sạch cao răng với các dụng cụ chuyên dụng. Cụ thể là lấy cao răng đen bằng máy siêu âm với công nghệ, tân tiến giúp tác động nhẹ nhàng lên cao răng mà không xâm lấn các tổ chức quanh răng. Để tìm hiểu kỹ hơn về dịch vụ này, khách hàng nên đến trực tiếp hệ thống nha khoa Wilson hoặc liên hệ số hotline để đặt lịch và tư vấn.
Bài cùng danh mục
0933 08 0099
Đặt lịch hẹn





