alt banner 1
Nieng
alt banner 3
alt banner 1
Nieng
alt banner 3

Khớp cắn sâu là gì? Nguyên nhân và cách khắc phục

Khớp cắn sâu là gì? Khớp cắn sâu là một dạng lệch khớp cắn khá phổ biến và chia thành nhiều mức độ khác nhau. Tuy nhiên, dù ở trường hợp nào thì cũng sẽ gây ảnh hưởng đến sức khỏe và thẩm mỹ gương mặt. Bài viết dưới đây, phòng khám Nha khoa Wilson sẽ giúp các bạn hiểu rõ hơn về nguyên nhân cũng như cách khắc phục của tình trạng khớp cắn sâu.

  1. Khái niệm khớp cắn sâu là gì?

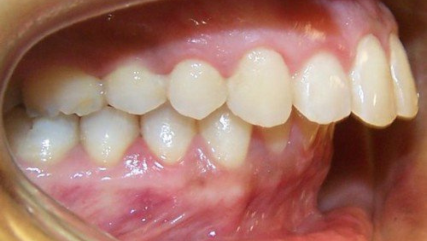
Khớp cắn sâu là gì? Khớp cắn sâu là khái niệm chỉ một dạng lệch khớp cắn phổ biến với với những biểu hiện như: hàm dưới lọt thỏm vào bên trong so với hàm trên, từ đó gây ra sự bất cân đối, ảnh hưởng đến sự hài hòa, tổng quan trên gương mặt. 

Tình trạng khớp cắn sâu có thể nhận biết thông qua những dấu hiệu dễ nhận biết như sau:

Với những trường hợp khớp cắn chuẩn, khi ngậm miệng nhóm răng phía trước hàm trên sẽ trùm lên khoảng 2/3 răng nhóm hàm dưới. Đồng thời, răng cửa hàm dưới sẽ chạm nhẹ với mặt sau của răng cửa hàm trên.

Với tình trạng khớp cắn sâu, khi cắn chặt thì nhóm răng phía trước hàm dưới không tiếp xúc với nhóm răng phía trước hàm trên, khi miệng ngậm hoặc ở trạng thái nghỉ, thấy rất ít hoặc không thấy răng hàm dưới.

Trường hợp khớp cắn sâu ở mức độ nặng, rìa răng hàm dưới không thể chạm vào chân răng hàm trên mà thay vào đó là phần nướu. Một vài trường hợp đặc biệt, khớp cắn sâu còn gây cằm lẹm.

khop-can-sau-la-gi-1

Khớp cắn sâu là gì? Khớp cắn sâu là khái niệm chỉ một dạng lệch khớp cắn phổ biến với với những biểu hiện như: hàm dưới lọt thỏm vào bên trong so với hàm trên, từ đó gây ra sự bất cân đối, ảnh hưởng đến sự hài hòa, tổng quan trên gương mặt. 

  1. Khớp cắn sâu do những nguyên nhân nào gây ra?

Theo các chuyên gia nha khoa, có nhiều nguyên nhân gây ra khớp cắn sâu, trong đó phổ biến nhất vẫn là yếu tố di truyền, sự bất thường trong quá trình phát triển của răng.

Khớp cắn sâu do di truyền

Theo thống kê cho thấy, khớp cắn sâu do di truyền bẩm sinh chiếm đến 70%. Xương hàm trên phát triển quá mức bình thường hoặc xương hàm dưới kém phát triển hơn bình thường cũng sẽ dẫn đến hiện tượng răng hàm dưới lọt thỏm vào bên trong, kích thước răng to nhưng cung hàm nhỏ, bé cũng gây ra tình trạng răng mọc chen chúc, xô đẩy nhau chìa ra ngoài.

Khớp cắn sâu do những bất thường trong quá trình phát triển của răng

Những thói quen của trẻ như: sử dụng bình sữa kéo dài, sử dụng núm vú giả, đẩy lưỡi, thở bằng miệng… sẽ gây ảnh hưởng đến sự phát triển bình thường của răng, từ đó cũng là nguyên nhân dẫn đến tình trạng khớp cắn sâu.

khop-can-sau-la-gi-2

Có nhiều nguyên nhân gây ra khớp cắn sâu, trong đó phổ biến nhất vẫn là yếu tố di truyền, sự bất thường trong quá trình phát triển của răng.

  1. Điều trị khớp cắn sâu như thế nào cho hiệu quả?

Thông qua kết quả thăm khám, chụp phim, nha sĩ chuyên môn sẽ xác định nguyên nhân dẫn đến khớp cắn sâu, từ đó sẽ đưa ra phương pháp điều trị phù hợp nhất. Thông thường, khớp cắn sâu sẽ được khắc phục hiệu quả bằng phương pháp chỉnh nha hoặc phẫu thuật hàm. Cụ thể như sau:

Điều trị khớp cắn sâu bằng niềng răng

Nếu khớp cắn sâu xuất phát từ việc sự phát triển bất thường của răng, răng mọc chen chúc đẩy chìa ra ngoài thì niềng răng được xem là phương pháp điều trị khớp cắn sâu hiệu quả. Lúc này, nha sĩ sẽ sử dụng khí cụ chỉnh nha chuyên dụng như: mắc cài, dây cung, minivis, khay niềng… để giúp tạo lực, nắn chỉnh răng về đúng vị trí mong muốn, mang đến sự tương quan hài hòa giữa răng hàm trên và răng hàm dưới, đảm bảo tính thẩm mỹ cho khuôn mặt.

Thông thường, thời gian để hoàn tất quá trình niềng răng điều trị khớp cắn sâu thường mất khoảng từ 2 đến 3 năm, phụ thuộc vào tình trạng, mức độ phức tạp của khớp cắn sâu và độ tuổi điều trị của người bệnh. 

Để đạt hiệu quả điều trị thì trong khoảng thời gian này, người bệnh cần được thăm khám nha khoa định kỳ theo chỉ định của bác sĩ để điều chỉnh, xem xét thay dây cung, điều chỉnh lực siết phù hợp… giúp quá trình chỉnh nha diễn ra đúng kế hoạch.

Hiện nay, trên thị trường niềng răng có nhiều phương pháp như: niềng răng mặt lưỡi, niềng răng mắc cài sứ, mắc cài kim loại, niềng răng khay trong suốt… Mỗi phương pháp đều có ưu điểm riêng cũng như chi phí tương ứng, đáp ứng với tình trạng cũng như nhu cầu của các bệnh nhân.

Điều trị khớp cắn sâu bằng phẫu thuật xương hàm

Với những trường hợp khớp cắn sâu do sự phát triển quá mức của xương hàm thì phương pháp niềng răng sẽ không mang lại hiệu quả tối ưu. Chính vì vậy, bệnh nhân sẽ được chỉ định phẫu thuật xương hàm nhằm giúp khớp cắn đạt tỷ lệ chuẩn.

Thông thường, thời gian phẫu thuật xương hàm mất khoảng từ 2 đến 6 tiếng, thời gian này sẽ phụ thuộc vào tình trạng khớp cắn cũng như sức khỏe của từng bệnh nhân. 

Sau khi hoàn tất ca phẫu thuật xương hàm, người bệnh cần ít nhất từ 3 đến 6 tháng hồi phục hoàn toàn sức khỏe.

Chỉnh nha kết hợp phẫu thuật xương hàm điều trị khớp cắn sâu

Nếu khớp cắn sâu mà nguyên nhân là do xương hàm phát triển quá mức và do răng thì bác sĩ sẽ chỉ định điều trị kết hợp giữa niềng răng và phẫu thuật xương hàm. Phương pháp này vừa có tác dụng mang lại khớp cắn chuẩn như mong muốn vừa giúp các răng sắp xếp đều đặn trên cung hàm.

khop-can-sau-la-gi-3

Nếu khớp cắn sâu xuất phát từ việc sự phát triển bất thường của răng, răng mọc chen chúc đẩy chìa ra ngoài thì niềng răng được xem là phương pháp điều trị khớp cắn sâu hiệu quả.

Hy vọng, bài viết trên đây của Nha khoa Wilson đã giúp các bạn giải đáp thắc mắc: Khớp cắn sâu là gì cũng như nguyên nhân và cách điều trị tình trạng này. Khớp cắn sâu dù ở mức độ nào thì cũng đều gây ảnh hưởng tiêu cực để sức khỏe và thẩm mỹ cho người bệnh, do đó cần điều trị sớm để ngăn ngừa biến chứng nguy hiểm có thể xảy ra. Nếu còn bất kỳ thắc mắc nào khác, khách hàng vui lòng liên hệ đến số hotline 0933 08 0099 hoặc đến trực tiếp tại Nha khoa Wilson để được bác sĩ chuyên khoa thăm khám và tư vấn hoàn toàn miễn phí.

Bài cùng danh mục

Thời Gian Làm Việc 8:30 - 19:00