Nong hàm là gì? Những trường hợp cần nong hàm
Nong hàm là kỹ thuật được áp dụng trong các trường hợp cung hàm hẹp và bị thiếu khoảng trống. Bài viết dưới đây của phòng khám nha khoa Wilson sẽ giúp hiểu rõ nong hàm là gì, những trường hợp cần phải tiến hành nong hàm.
-
Khái niệm về nong hàm là gì?
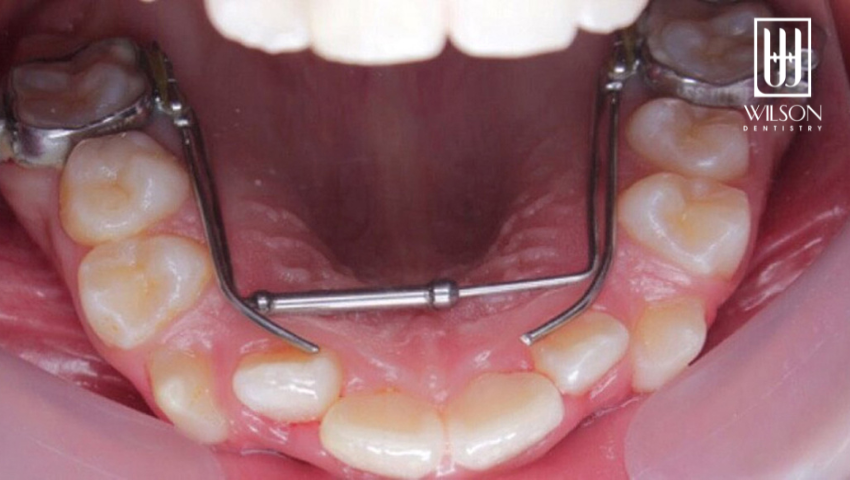
Nong hàm là kỹ thuật được sử dụng phổ biến trong quá trình chỉnh nha. Bác sĩ nha khoa sẽ sử dụng các thiết bị chuyên biệt để nới rộng cung hàm với mục đích giúp tăng diện tích vòm miệng. Bên cạnh đó, nong hàm còn giúp tạo ra những khoảng trống để các răng của hàm có thể dịch chuyển dễ dàng hơn trong khi chỉnh nha.
Thông thường, kỹ thuật nong hàm được áp dụng cho hàm trên, chỉ một số trường hợp đặc biệt sử dụng cho hàm dưới.
Khi nong hàm thì người bệnh không cần thiết phải nhổ răng. Do đó, đây có thể được xem là phương pháp thay thế cho việc nhổ răng phục vụ cho quá trình niềng răng.
Nong hàm chỉ có tác dụng nới rộng cung hàm để tạo thêm các khoảng trống, không gian trống phục vụ cho việc xếp đều các răng khi chỉnh nha. Tuy nhiên, kỹ thuật nong hàm cũng có thể được áp dụng trong một số trường hợp cụ thể và quá trình này diễn ra khoảng từ 1 đến 3 tháng.

Nong hàm là kỹ thuật được áp dụng trong các trường hợp cung hàm hẹp và bị thiếu khoảng trống.
-
Những trường hợp cần chỉ định nong hàm?
Nong hàm khi vòm hàm quá hẹp
Với những trường hợp vòm hàm hẹp, khi niềng răng cần phải được chỉ định để nong hàm. Trên thực tế, vòm hàm hẹp không được xác định bằng chỉ số cụ thể nào mà nó được đánh giá dựa vào tương quan giữa vòm hàm và cấu trúc tổng thể của khuôn mặt trong quá trình thăm khám của bác sĩ.
Thông qua hình ảnh chụp cắt lớp hoặc thăm khám trực tiếp, bác sĩ nha khoa sẽ đánh giá sự tương quan giữa vòm hàm và cấu trúc tổng thể của khuôn mặt, từ đó xác định vòm hàm có hẹp hay không và chỉ định nong hàm.
Với những trường hợp vòm hàm hẹp, khi niềng răng, bác sĩ sẽ chỉ định nong hàm để tạo sự cân đối cho khuôn mặt. Việc nong hàm sẽ giúp tạo ra khoảng trống vừa đủ cho các răng sắp xếp, do đó, người bệnh có thể không cần phải chỉ định nhổ thêm răng. Tuy vậy, cũng có những trường hợp, vòm hàm quá hẹp, không đủ khoảng trống để xếp đều răng thì người bệnh cần phải kết hợp cả nong hàm và nhổ răng.
Vòm hàm không có đủ chỗ để xếp răng
Mặc dù vòm hàm không hẹp nhưng nếu không đủ cho 28 đến 32 chiếc răng dịch chuyển thì bạn cũng có thể cần phải nong hàm. Chỉ định nong hàm thường áp dụng khi hàm nhỏ, tránh phải nong hàm nhiều vì dễ gây phá vỡ cấu trúc hài hòa của khuôn mặt. Do đó, nhiều khả năng bác sĩ sẽ kết hợp nong hàm với nhổ răng hoặc chỉ nhổ răng mà không cần nong hàm khi chỉnh nha.
Tóm lại, tùy thuộc vào tình trạng răng, tỉ lệ khuôn mặt, tỉ lệ cân đối giữa răng, xương hàm mà bác sĩ nha khoa sẽ chỉ định bạn nên chọn phương pháp nào phù hợp nhất.
Nong hàm trong trường hợp hàm bị lệch, méo
Với những trường hợp phức tạp như hàm bị lệch, méo, một trong hai hàm không được cân đối, méo sang một bên, khớp cắn lệch… bác sĩ sẽ dùng lực nong rộng một bên để tạo sự cân xứng với bên hàm còn lại sao cho tỷ lệ khuôn mặt được cân đối.
Tóm lại, nong hàm là thủ thuật tác động đến xương hàm, do đó khi xác định nong hàm thì bạn cần phải có sự tư vấn, thăm khám, chụp phim rồi sau đó bác sĩ mới đưa ra chỉ định cụ thể nhất cho khách hàng.

Với những trường hợp vòm hàm hẹp, khi niềng răng cần phải được chỉ định để nong hàm.
-
Những điều cần lưu ý khi thực hiện nong hàm?
Thời gian nong hàm trong bao lâu?
Quá trình nong hàm thường dao động từ 1 đến 3 tháng và tùy vào từng trường hợp cụ thể của người bệnh. Bên cạnh đó, việc nong hàm thực hiện nhanh hay chậm còn phụ thuộc vào một số yếu tố khách quan khác như: tay nghề, trình độ của bác sĩ, công nghệ nong và dụng cụ, thiết bị nong hàm.
Chính vì vậy, khi thực hiện nong hàm, bạn cần lựa chọn địa chỉ nha khoa uy tín. Nó không chỉ giúp bạn rút ngắn thời gian điều trị mà còn đảm độ an toàn, tính hiệu quả cao và tối ưu nhất.
Nong hàm có khiến khuôn mặt thay đổi khuôn mặt hay không?
Cơ chế hoạt động của nong hàm là kéo dãn khoảng cách răng, nới rộng xương hàm, do đó, nhiều người băn khoăn rằng nong hàm có khiến cho khuôn mặt bị thay đổi hay không?
Theo ý kiến của các chuyên gia, nong hàm thực tế có khiến cho khuôn mặt có thay đổi nhưng sự thay đổi này không đáng kể và khó nhận thấy bằng mắt thường. Hầu hết các trường hợp nong hàm có sự thay đổi trên khuôn mặt đều theo chiều hướng tích cực và mang lại cho cung hàm khuôn mặt hài hòa, cân đối hơn.
Dưới đây là một số thay đổi tích cực trên khuôn mặt khi nong hàm mà bạn có thể nhận được:
- Tạo ra sự cân đối, hài hòa giữa hai hàm: Việc nong hàm sẽ giúp cho cung răng được nới rộng, từ đó tạo ra sự cân xứng giữa hai hàm, đồng thời giúp cải thiện cung hàm bị méo, lệch trở nên cân xứng, hài hòa.
- Giúp cải thiện cấu trúc khuôn mặt: Với những người có cung hàm nhỏ, hẹp từ đó khuôn mặt bị mất cân đối thì việc nong hàm trong quá trình chỉnh nha sẽ giúp cho vòm hàm trở nên cân xứng, cải thiện thẩm mỹ tối đa cho khuôn mặt.
Nong hàm là kỹ thuật nha khoa được áp dụng phổ biến trong chỉnh nha với các trường hợp cung hàm hẹp, thiếu khoảng trống và cần được chẩn đoán và chỉ định chính xác. Không phải bất kỳ trường hợp nào cũng được chỉ định nong hàm, cũng như phương pháp, kỹ thuật nong hàm cho mỗi trường hợp có chỉ định là khác nhau. Do đó bạn cần đến các phòng khám nha khoa uy tín, cso chuyên môn để được các chuyên gia về chỉnh nha thăm khám, tư vấn và chẩn đoán cụ thể.

Nong hàm sẽ giúp cho cung răng được nới rộng cải thiện cung hàm bị méo, lệch trở nên cân xứng, hài hòa
Hy vọng bài viết trên của phòng khám nha khoa Wilson đã đem lại những kiến thức bổ ích cho các bạn về phương pháp nong hàm trong chỉnh nha. Để được tư vấn và hỗ trợ kỹ hơn về phương pháp này, quý khách hàng vui lòng đến trực tiếp phòng khám để được thăm khám hoặc liên hệ vào số hotline 0933 08 0099 để được tư vấn và hỗ trợ một cách nhanh nhất.
Bài cùng danh mục
0933 08 0099
Đặt lịch hẹn





