Răng khấp khểnh là gì? tác hại và cách khắc phục
Răng khấp khểnh là gì? Răng khấp khểnh gây ra những tác hại gì cho người bệnh hay cách khắc phục của tình trạng này như thế nào? Đây là thắc mắc của nhiều người khi gặp tình trạng răng như này. Bởi nó không chỉ ảnh hưởng chức năng nhai mà còn gây mất thẩm mỹ cho khuôn mặt. Cùng tìm lời giải đáp qua bài viết dưới đây của hệ thống nha khoa Wilson nhé.
-
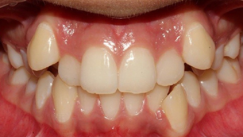
Tìm hiểu khái niệm: Răng khấp khểnh là gì?
Răng khấp khểnh là tình trạng mà răng mọc chen chúc, xô lệch nhau trên một cung hàm. Đôi khi những chiếc răng này còn mọc chồng chéo nhau, cái đâm ra cái tụt vào gây mất thẩm mỹ cho gương mặt của người sở hữu.
Bên cạnh đó, răng mọc khấp khểnh còn gây tác động tiêu cực tới chức năng nhai của răng, gây khó khăn cho quá trình vệ sinh răng miệng. Từ đó dẫn đến nguy cơ mắc các bệnh về răng miệng như: viêm nha chu, viêm lợi, sâu răng… nếu không được điều trị kịp thời, người bệnh sẽ có nguy cơ mất răng.
-
Răng khấp khểnh nguyên nhân do đâu gây ra?
Theo ý kiến của các chuyên gia, có khá nhiều nguyên nhân dẫn tới tình trạng răng mọc khấp khểnh:
- Di truyền được xem là nhân tố chính gây ảnh hưởng tới quá trình mọc răng cũng như cho kết quả cho là có đều đẹp hay không. Chính vì thế, nếu trong gia đình bạn có ông bà, hoặc bố mẹ có người bị răng khểnh thì khả năng con cái sẽ có nguy cơ mọc những hàm răng khấp khểnh là rất cao
- Việc người bệnh bị mất răng quá sớm với bất kỳ nguyên nhân gì cũng đều gây ảnh hưởng tới vị trí của các răng khác khi mọc trên cung hàm. Vì lúc này răng sẽ có cơ hội mọc chen chúc nhau lên vị trí trống của cung hàm đã mất răng trước đó. Đặc biệt, nếu răng có kích thước quá to sẽ dẫn tới mọc chen lấn sang vị trí của các răng khác và gây ra tình trạng răng mọc lệch lạc.
- Trường hợp mất răng sau đó đã được thực hiện phương pháp phục hình cầu răng hoặc bọc răng sứ cũng sẽ tạo ra áp lực lên răng và các răng có thể cắn lên nhau khiến cho răng di chuyển lệch lạc, gây ảnh hưởng tới khớp cắn đồng thời cũng dẫn tới tình trạng răng mọc khấp khểnh.
- Người bệnh đã trải qua chấn thương, nhiễm trùng, viêm nưới thì cũng sẽ có nhiều điều kiện bất lợi, gây ảnh hưởng đến răng, khớp cắn từ đó cũng khiến cho răng dễ bị lung lay. Bên cạnh đó, khi tuổi càng cao thì răng càng có xu hướng dịch chuyển về phía dưới và mật độ xương hàm cũng giảm, khiến cho hình dạng của răng cũng thay đổi.

Răng khấp khểnh là gì? Răng khấp khểnh là tình trạng mà răng mọc chen chúc, xô lệch nhau trên một cung hàm.
-
Răng khấp khểnh gây ảnh hưởng như thế nào tới sức khoẻ?
Răng khấp khểnh không chỉ khiến cho người bệnh cảm thấy tự ti trong giao tiếp bởi tính thẩm mỹ không cao mà tình trạng này còn gây ảnh hưởng tiêu cực đến sức khỏe răng miệng của người bệnh.
Những người răng khấp khểnh khi ăn, nhai thường gặp tình trạng thức ăn bị dắt, mắc tại vị trí kẽ răng và những vị trí rất khó có thể làm sạch được. Trong quá trình vệ sinh răng miệng không kỹ thì những thức ăn này cũng sẽ gây hình thành mảng bám, vi khuẩn và cao răng gây ra sâu răng, viêm nha chu, viêm lợi cũng như các bệnh răng miệng khác.
Răng mọc chen chúc, lộn xộn cũng khiến cho diện tích mặt nhi của hai hàm hạn chế, khiến cho chức năng nhai kém hiệu quả hơn. Chính vì thế, khí thức ăn chưa được nhai kỹ ở dạ dày sẽ gây áp lực cho cơ quan tiêu hóa, lâu dài sẽ gây ra các bệnh lý về đường ruột và hệ tiêu hóa.
Hai hàm răng khấp khểnh cũng khiến cho quá trình ăn nhai bị mỏi hàm, thậm chí là khớp cắn ngược thái dương hàm, gây ra biến chứng nguy hiểm cho người bệnh.

Răng khấp khểnh nếu vệ sinh răng miệng không kỹ thì những thức ăn này cũng sẽ gây hình thành mảng bám, vi khuẩn và cao răng gây ra sâu răng, viêm nha chu, viêm lợi cũng như các bệnh răng miệng khác.
-
Những biện pháp khắc phục răng khấp khểnh?
Để ngăn ngừa và khắc phục tình trạng răng khấp khểnh, người bệnh cần thực hiện thăm khám răng định kỳ để bác sĩ tư vấn, đánh giá và có phác đồ điều trị phù hợp.
Khắc phục răng khấp khểnh bằng niềng răng.
Niềng răng là phương pháp nha khoa thẩm mỹ giúp điều trị tối ưu cho tình trạng răng khấp khểnh. Niềng răng là giải pháp mà người bệnh sử dụng các khí cụ như: khay trong suốt, mắc cài, dây cung… nhằm tác động lực giúp di chuyển các răng sai lệch về đúng vị trí mong muốn trên cung hàm.
Tại hệ thống nha khoa Wilson, niềng răng thẩm mỹ được thực hiện bằng các phương pháp như sau:
- Niềng răng mắc cài kim loại
- Niềng răng mắc cài sứ
- Niềng răng mắc cài tự buộc
- Niềng răng mắc cài lưỡi
- Niềng răng Invisalign
Khắc phục răng khấp khểnh bằng phục hình sứ
Đối với những tình trạng răng mọc khấp khểnh ở thể nhẹ, ngoài phương pháp niềng răng thì nha sĩ có thể cân nhắc bọc sứ thẩm mỹ hoặc sử dụng mặt dán sứ Veneer để khắc phục tình trạng răng không đều. Với ưu điểm mang lại nụ cười rạng rỡ, trắng sáng, hàm răng đều đặn trong thời gian ngắn thì đây cũng là phương pháp được nhiều khách hàng yêu thích và lựa chọn. Tuy nhiên, với phương pháp này, bạn cần tìm hiểu kỹ và điều trị tại những cơ sở nha khoa uy tín, có đội ngũ bác sĩ chuyên môn cao, dày dặn kinh nghiệm trong lĩnh vực này để tránh mài răng quá nhiều, mang lại hiệu quả điều trị cao và bảo vệ sức khỏe răng miệng lâu bền.
Tóm lại, có thể thấy răng răng khấp khểnh không những ảnh hưởng đến yếu tố thẩm mỹ, chất lượng cuộc sống, mà còn gây nguy cơ mắc các bệnh lý về răng miệng. Chính vì thế, khi phát hiện răng có dấu hiệu xấu, bạn hãy đến ngay các cơ sở nha khoa chất lượng, uy tín để được thăm khám và điều trị dứt điểm, tránh các hậu quả lâu dài về sau.

Niềng răng là phương pháp nha khoa thẩm mỹ giúp điều trị tối ưu cho tình trạng răng khấp khểnh.
Hy vọng những thông tin trong bài sẽ giúp các bạn giải đáp thắc mắc “răng khấp khểnh là gì”? Cũng như hiểu thêm về tình trạng răng mọc khấp khểnh và lựa chọn được cơ sở điều trị uy tín và chất lượng cho bản thân. Liên hệ với số hotline 0933 08 0099 của hệ thống nha khoa Wilson để được tư vấn và giải đáp mọi thắc mắc khi có vấn đề về sức khỏe răng miệng nhé.
Bài cùng danh mục
0933 08 0099
Đặt lịch hẹn





