Tẩy trắng răng nhiễm kháng sinh có được không?
Tẩy trắng răng nhiễm kháng sinh có được không? Tẩy trắng răng nhiễm kháng sinh mất bao lâu?... Đó là băn khoăn của rất nhiều khách hàng khi tìm hiểu về phương pháp này. Bài viết dưới đây của nha khoa Wilson sẽ giúp khách hàng hiểu rõ hơn.
-
Răng nhiễm Tetracycline là gì?
Tetracycline là một loại kháng sinh phổ biến, có tác dụng đối với nhiều loại vi khuẩn gây bệnh.
Tetracycline được chỉ định trong điều trị các bệnh như:
- Nhiễm khuẩn Chlamydia ( Bệnh nhiễm khuẩn đường sinh dục, tiết niệu, bệnh mắt hột…)
- Nhiễm khuẩn Mycoplasma( Bệnh viêm phổi …)
- Bệnh tiêu chảy cấp do vi khuẩn tả…
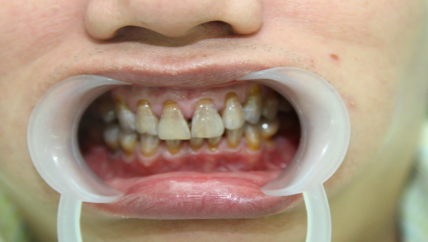
Răng nhiễm Tetracycline là hiện tượng răng bị ố vàng, đen, sẫm màu…do tác dụng phụ của thuốc kháng sinh. Răng nhiễm tetracycline là răng nhiễm màu từ bên trong, khác hoàn toàn với răng nhiễm màu bắt nguồn từ thực phẩm.
-
Dấu hiệu của răng nhiễm kháng sinh
Dấu hiệu rõ nhất của răng nhiễm kháng sinh là răng có vàng, đen, sẫm màu hoặc răng bị màu loang lổ. Mức độ nhiễm màu sẽ phụ thuộc và thời điểm dùng kháng sinh, liều lượng kháng sinh và loại kháng sinh đưa vào cơ thể. Có thể chia mức độ nhiễm màu kháng sinh như sau:
- Nặng: Răng đen sậm toàn bộ
- Vừa: Răng ố vàng loang lổ
- Nhẹ: Răng vàng nhẹ

-
Nguyên nhân khiến răng nhiễm Tetracycline
Thuốc kháng sinh Tetracycline khi uống vào cơ thể sẽ kết hợp với canxi trong xương làm hỏng men răng, khiến răng có màu vàng, nâu, đen ảnh hưởng đến thẩm mỹ của răng. Đối với mẹ bầu đang mang thai, vào giai đoạn cuối của thai kỳ nếu như sử dụng thuốc tetracycline nhiều sẽ ngăn chặn tới sự phát triển xương của trẻ.
Nguyên nhân của việc răng nhiễm tetracycline là do trẻ em chưa đến dưới 7 – 8 tuổi, sử dụng nhiều thuốc kháng sinh cùng nhóm với tetracycline, hoặc do quá trình mang thai mẹ có sử dụng kháng sinh nên sẽ ảnh hưởng tới màu răng của trẻ.
-
Tẩy trắng răng nhiễm kháng sinh có được không?
Việc nhiễm kháng sinh khiến cho màu răng của khách hàng vàng hơn, đen hơn… ảnh hưởng rất nhiều đến tính thẩm mỹ. Chính vì thế, nhiều khách hàng luôn tìm mọi cách để có thể làm trắng lại hàm răng, tự tin hơn khi giao tiếp.
Thông thường răng bị nhiễm màu sẽ rất khó để thực hiện tẩy trắng bằng các phương pháp thông thường. Cho dù bạn có vệ sinh răng miệng đều đặn, lấy cao răng định kỳ thì màu sắc cũng không cải thiện là mấy.

Việc tẩy trắng răng bằng tia laser cũng cần cân nhắc, tuỳ vào từng trường hợp cụ thể thì mới có thể làm trắng răng lại. Đối với trường hợp răng nhiễm màu ở mức độ nhẹ thì bác sĩ có thể thực hiện tẩy trắng. Tuy nhiên nếu răng đã nhiễm tetracycline ở mức độ nặng thì tẩy trắng răng sẽ không còn khả thi. Khi đó, bác sĩ sẽ nghiên cứu và áp dụng một số phương pháp khác như bọc răng sứ hoặc dán sứ để giúp khách hàng sở hữu một hàm răng như ý muốn.
Chính vì thể để xác định chính xác phương án điều trị đối với hàm răng bị nhiễm màu thì khách hàng cần tới gặp bác sĩ nha khoa để được thăm khám và tư vấn cụ thể.
-
Cách khắc phục răng nhiễm Tetracycline
Đối với trường hợp răng bị nhiễm màu kháng sinh, bác sĩ sẽ có những phương án xử lý như sau:
Tẩy trắng răng nhiễm kháng sinh
Tẩy trắng răng sẽ được thực hiện trong trường hợp màu chưa ăn sâu vào bên trong răng, mới chỉ ảnh hưởng ở lớp men răng bên ngoài.
Tẩy trắng răng là quá trình làm màu răng trắng hơn bằng cách kết hợp thuốc tẩy với tia Laser ánh sáng xanh để tạo ra những phản ứng oxi hóa, cắt đứt cắt đứt các protein màu trong răng, giúp răng trắng hơn.
Quá trình tẩy trắng răng diễn ra vô cùng nhanh chóng, khách hàng chỉ cần mất một lần tới phòng khám. Sau khi bác sĩ bôi thuốc tẩy trắng răng sẽ chiếu đèn Laser ánh sáng xanh, để làm thay đổi màu răng.

Bọc răng sứ
Bọc răng sứ là phương pháp “ thay áo” cho răng. Với phương pháp này, bác sĩ sẽ tiến hành mài một lớp men răng mỏng, sau đó bọc chụp lại bằng một chiếc mão sứ khác. Do mão sứ được làm nhân tạo nên có thể lựa chọn màu sắc theo muốn. Răng mới có màu trắng hơn, sáng hơn mà vẫn đảm bảo tự nhiên như răng thật. Hơn thế nữa, răng sứ còn có tác dụng bảo vệ răng thật bên trong, giúp chúng tránh những những bệnh lý như: Sâu răng…

Dán sứ Veneer
Dán sứ khác với bọc sứ, nếu như bọc răng sứ khách bác sĩ sẽ mài nhỏ toàn bộ các mặt của răng thì dán sứ Veneer sẽ chỉ mài một lớp rất mỏng phía ngoài của răng, sau đó phục hình bằng miếng sứ Veneer với màu sắc trắng hơn, bóng hơn để thay đổi thẩm mỹ của hàm răng.
Dán sứ sẽ chỉ thực hiện được trong trường hợp, răng nhiễm tetracycline ở mức độ nhẹ, hình thể các răng đều nhau. Còn đối với trường hợp răng nhiễm màu nặng hơn thì khách hàng nên sử dụng phương pháp bọc răng sứ.

-
Tẩy trắng răng nhiễm kháng sinh mất bao lâu?
Thời gian tẩy trắng răng nhiễm kháng sinh sẽ chỉ mất từ 45 – 60p. Sau khi vệ sinh răng miệng, bác sĩ sẽ bôi thuốc lên răng, chiếu đèn Laser ánh sáng xanh trong khoảng 45 – 60 phút. Trong khoảng thời gian ấy, khách hàng chỉ cần nằm yên cho đến khi đèn Laser tắt. Quá trình sẽ không gây đau nhức, hay ê buốt gì nên khách hàng hoàn toàn có thể yên tâm.
Còn đối với điều trị bằng phương pháp bọc răng sứ thì thời gian từ lúc bắt đầu cho đến khi hoàn tất chỉ mất khoảng từ 2 – 3 ngày. Sau khi mài răng xong, bác sĩ sẽ lắp một hàm răng tạm, giúp khách hàng đảm bảo thẩm mỹ ăn nhai trong quá trình chờ xưởng thiết kế răng sứ. Vậy nên, khoảng thời gian này khách hàng sẽ có chút cảm giác ê buốt, khó chịu khi ăn nhai. Theo khuyến cáo của bác sĩ nha khoa thì thời gian này, khách hàng nên ăn những loại thực phẩm mềm, dễ nuốt, hạn chế ăn đồ ăn dai cứng, uống nước quá nóng hoặc quá lạnh.
Nhìn chung, thời gian để điều trị răng bị nhiễm kháng sinh tương đối nhanh, điều quan trọng là khách hàng cần tìm được địa chỉ uy tín để thực hiện.
Với tình trạng nha khoa cỏ mọc lên như nấm hiện nay, nhiều cơ sở không có giấy phép vẫn ngang nhiên hoạt động thì khách hàng cần cẩn trọng trong việc lựa chọn nha khoa uy tín.
Trên đây là những thông tin liên quan tới tẩy trắng răng nhiễm kháng sinh. Hy vọng rằng với những thông tin mà nha khoa Wilson cung cấp khách hàng sẽ có phương án điều trị phù hợp. Nếu khách hàng đang băn khoăn tìm kiếm một địa chỉ tẩy trắng răng thì đừng bỏ qua nha khoa Wilson nhé!
Bài cùng danh mục
0933 08 0099
Đặt lịch hẹn





