alt banner 1
Nieng
alt banner 3
alt banner 1
Nieng
alt banner 3

Tìm hiểu về chi phí điều trị viêm nha chu

Chi phí điều trị viêm nha chu hết bao nhiêu là quan tâm hàng đầu của người bệnh khi gặp phải bệnh lý này. Theo đó, việc đưa ra mức chi phí cố định cho một ca điều trị là rất khó. Bởi còn rất nhiều yếu tố liên quan, tác động khiến người bệnh, chỉ định của bác sĩ, phương pháp điều trị cũng như cơ sở thực hiện.

  1. Thế nào là bệnh viêm nha chu? Biểu hiện, triệu chứng?

Viêm nha chu là khái niệm dùng để chỉ tình trạng nướu bị nhiễm trùng nghiêm trọng, gây tổn thương đến mô mềm và phá hủy kết cấu xương xung quanh răng của người bệnh. Bệnh viêm nha chu không chỉ gây mất thẩm mỹ mà còn ảnh hưởng đến sức khỏe và sinh hoạt của người bệnh. 

Nguyên nhân gây ra viêm nha chu là do người bệnh không vệ sinh răng miệng đúng cách. Về cơ bản, nguyên nhân của bệnh bắt đầu là do các mảng bám ở răng tạo nên các ổ vi khuẩn. Khi người bệnh sử dụng những thực phẩm có chứa nhiều tinh bột và đường, những mảng bám trên răng sẽ tương tác với các vi khuẩn có hại trên khoang miệng khiến vi khuẩn sinh sôi, phát triển nhanh chóng hơn và tấn công và sức khỏe răng miệng của bạn. Việc đánh răng hàng ngày và sử dụng chỉ nha khoa có tác dụng loại bỏ mảng bám nhưng chúng có thể hình thành lại một cách nhanh chóng.

Mảng bám có thể cứng lại tại đường viền nướu nếu không được loại bỏ thì lâu ngày sẽ trở thành vôi răng. Vôi răng khó loại bỏ hơn mảng bám, chúng ta không thể loại bỏ vôi răng bằng các phương pháp thông thường mà cần tới các phòng khám nha khoa để được loại bỏ bằng thiết bị hiện đại.

Khi bị bệnh viêm nha chu, người bệnh thường có các triệu chứng như sau:

  • Nướu đỏ sẫm, đỏ tươi khác với màu hồng nhạt khi nướu khỏe mạnh.
  • Nướu đau, cộm, lấn cấn ở miệng.
  • Nướu nhạy cảm, dễ chảy máu, khi chạm nhẹ hoặc đánh răng.
  • Lợi tụt, không bao quanh răng khiến cho răng mất thẩm mỹ.
  • Xuất hiện mủ ở nướu và các ổ viêm.
  • Miệng có mùi hôi kéo dài, điều trị mãi không dứt.
  • Cảm giác đau nhức, buốt kéo dài khi nhai.

Bệnh viêm nha chu nói chung là bệnh lý nha khoa khá phổ biến, có thể phòng ngừa và điều trị dứt điểm, tuy nhiên nếu không được phát hiện và điều trị thì có thể dẫn tới những biến chứng vô cùng nghiêm trọng tới sức khỏe mọi người, cụ thể là rụng răng, mất răng vĩnh viễn…

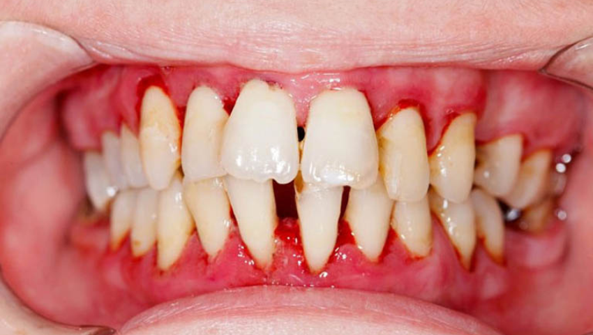
tim-hieu-ve-chi-phi-dieu-tri-viem-nha-chu-1

Viêm nha chu là khái niệm dùng để chỉ tình trạng nướu bị nhiễm trùng nghiêm trọng, gây tổn thương đến mô mềm và phá hủy kết cấu xương xung quanh răng của người bệnh

  1. Chi phí điều trị viêm nha chu như thế nào?

Viêm nha chu nếu kéo dài, có thể gây ảnh hưởng lớn tới sức khỏe cũng như tinh thần của người bệnh. Do đó, việc điều trị bệnh càng sớm càng tốt là vô cùng cần thiết. Chi phí điều trị viêm nha chu hết bao nhiêu là vấn đề được nhiều người bệnh quan tâm. Hiện nay, chi phí điều trị viêm nha chu tùy theo mức độ sẽ có những mức giá khác nhau, thông thường sẽ dao động từ 3.000.000 đến 5.000.000/ca. Mức phí mà người bệnh chi trả sẽ khác nhau và phụ thuộc vào nhiều yếu tố.

  • Tình trạng, mức độ bệnh của người cần được điều trị viêm nha chu: Nếu tình trạng bệnh viêm nghiêm trọng, đã kéo dài rất lâu thì thời gian điều trị sẽ kéo dài, phương pháp điều trị sẽ phức tạp và đòi hỏi bác sĩ phải có trình độ chuyên môn cao, tỉ mỉ.
  • Phương pháp, kỹ thuật điều trị cũng có mối liên hệ mật thiết với việc điều trị viêm nha chu, do đó, bác sĩ sẽ tư vấn phương pháp điều trị phụ thuộc vào tình trạng răng miệng của người bệnh.
  • Tay nghề, trình độ chuyên môn của bác sĩ cũng quyết định đến chi phí điều trị viêm nha chu.
  • Cơ sở nha khoa mà bạn lựa chọn thực hiện, nếu bạn lựa chọn thực hiện điều trị ở các bệnh viện công lập thì chi phí sẽ thấp nhưng bạn sẽ mất thời gian chờ đợi lâu, chi phí ở các phòng khám nha khoa cao hơn, đồng nghĩa bạn sẽ được hưởng dịch vụ chăm sóc tốt hơn và tiết kiệm thời gian thực hiện.

tim-hieu-ve-chi-phi-dieu-tri-viem-nha-chu-2

Hiện nay, chi phí điều trị viêm nha chu tùy theo mức độ sẽ có những mức giá khác nhau, thông thường sẽ dao động từ 3.000.000 đến 5.000.000/ca

  1. Một số lưu ý sau điều trị viêm nha chu mà bạn cần nhớ?

Ngoài lưu ý về chi phí điều trị viêm nha chu, vấn đề chăm sóc sau điều trị cũng vô cùng quan trọng. Chính vì thế, sau khi thăm khám và tư vấn hướng điều trị cho bệnh nhân, nha sĩ sẽ tiến hành các phương pháp điều trị, sau đó hướng dẫn bệnh nhân cách chăm sóc, vệ sinh sau điều trị để tránh gây nhiễm trùng vết thương, từ đó giúp vết thương mau chóng hồi phục.

  • Cần vệ sinh răng miệng đúng cách và khoa học theo hướng dẫn của bác sĩ. Nên sử dụng bàn chải có đầu chải mềm, phù hợp kích cỡ khuôn miệng và thay bàn chải sau 3 tháng sử dụng, vệ sinh ít nhất răng 2 phút cho mỗi lần đánh răng, lưu ý không chà quá mạnh.
  • Không dùng tăm hay các vật nhọn để vệ sinh răng, bởi nó có thể gây tổn thương và viêm nhiễm nướu răng, có thể thay thế tăm bằng tăm nước hoặc chỉ nha khoa.
  • Bổ sung dinh dưỡng đầy đủ và cần thiết sau điều trị, uống đủ nước, ưu tiên ăn rau củ, trái cây tươi để bổ sung dưỡng chất và cải thiện sức khỏe.
  • Tuân thủ lịch tái khám theo chỉ định của bác sĩ, trường hợp viêm nha chu có dấu hiệu tái phát, nha sĩ sẽ kịp thời theo dõi và điều trị, phòng tránh những nguy cơ và rủi ro xấu có thể xảy ra.

tim-hieu-ve-chi-phi-dieu-tri-viem-nha-chu-3

Sau khi điều trị viêm nha chu cần tuân thủ lịch tái khám theo chỉ định của bác sĩ

Hy vọng bài viết trên đây của phòng khám nha khoa Wilson đã giúp các bạn giải đáp được thắc mắc về chi phí điều trị viêm nha chu hết bao nhiêu. Mỗi phòng khám, cơ sở nha khoa sẽ có mức giá điều trị khác nhau. Ngoài ra, chi phí điều trị viêm nha chu còn phụ thuộc vào mức độ viêm, cơ sở hạ tầng, tình trạng sức khỏe của người bệnh, tay nghề bác sĩ,… và nhiều yếu tố liên quan khác. Để nắm rõ được chi phí, khách hàng có thể liên hệ tư vấn tại số hotline 0933 08 0099 của nha khoa Wilson để được tư vấn cụ thể nhất.

Bài cùng danh mục

Thời Gian Làm Việc 8:30 - 19:00