Viêm lợi có mủ là gì? Cách điều trị viêm lợi có mủ
Viêm lợi có mủ là gì, cách điều trị viêm lợi có mủ như thế nào? Bởi đây là một trong những bệnh lý răng hàm mặt nguy hiểm và có thể gây ra các biến chứng nếu không được phát hiện sớm và điều trị đúng cách. Hãy cùng tìm hiểu nguyên nhân và cách điều trị bệnh qua bài viết dưới đây của nha khoa Wilson.
-
Thế nào là bệnh viêm lợi có mủ?
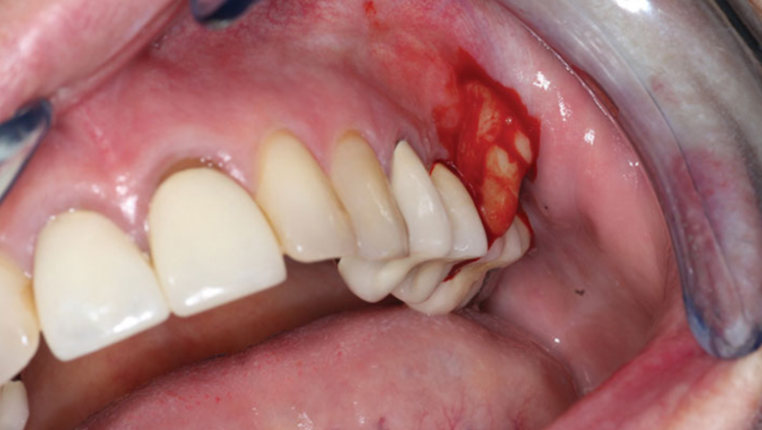
Viêm lợi có mủ hay còn gọi là viêm sưng nướu răng có mủ là bệnh lý răng hàm mặt xảy ra khi nướu bị nhiễm trùng, gây ra tình trạng hơi thở có mùi, chân răng đau nhức.
Khi lợi bị viêm nhiễm, các tế bào miễn dịch trong cơ thể sẽ tập trung đến nơi xâm nhập để chống lại các vi khuẩn gây hại đó. Ổ mủ chính là tập hợp của xác của tế bào và vi khuẩn còn sót lại, từ đó gây ra nhiễm trùng và sưng tấy các mô ở chân răng.

Viêm lợi có mủ hay còn gọi là viêm sưng nướu răng có mủ là bệnh lý răng hàm mặt xảy ra khi nướu bị nhiễm trùng, gây ra tình trạng hơi thở có mùi, chân răng đau nhức.
-
Khi bị viêm lợi có mủ sẽ có những triệu chứng gì?
Khi bị viêm nướu có mủ, người bệnh thường sẽ gặp các triệu chứng điển hình như sau:
- Đau nhức răng liên tục
- Nướu sưng đỏ, xung quanh vị trí nướu có mủ, to hơn bình thường, ấn vào sẽ chảy dịch vàng có mùi hôi hoặc chảy máu.
- Người bệnh sốt nhẹ từ một đến vài ngày.
- Cảm giác đau buốt khi ăn hoặc nhai.
- Hơi thở có mùi khó chịu, khiến người bệnh tự ti.
- Má, mặt bị sưng kèm hạch ở cổ.
-
Viêm lợi có mủ do nguyên nhân nào gây ra?
Người bệnh chưa có biện pháp vệ sinh răng miệng đúng cách
Có thể nói, nguyên nhân chủ yếu gây ra viêm nướu có mủ là do việc vệ sinh răng miệng chưa đúng cách. Nếu việc vệ sinh răng miệng sai cách, các mảng bám vẫn còn sót lại, tồn tại ở trong khoang miệng, từ đó gây ra tình trạng cao răng phát triển nhanh chóng. Bên cạnh đó, đây là môi trường thuận lợi để các loại vi khuẩn có hại cho răng nướu sinh sôi và phát triển với tốc độ chóng mặt và gây ra các bệnh như viêm lợi, lâu ngày sẽ trở thành viêm lợi có mủ.
Viêm lợi có mủ do thói quen ăn uống các thực phẩm chứa nhiều đường
Nguyên nhân số 2 gây ra viêm nướu có mủ có thể nói đó chính là việc sử dụng thường xuyên các thực phẩm chứa nhiều đường như: bánh, kẹo, đồ uống có gas… Đây là một trong những tác nhân khiến cho răng bị tổn thương răng nướu, từ đó tạo điều kiện thuận lợi cho vi khuẩn xâm nhập, tấn công và gây viêm nhiễm.
Viêm lợi có mủ do người bệnh mắc các bệnh lý khác
Những bệnh lý như tiểu đường và các bệnh lý tự miễn dịch khác khiến cho sức đề kháng của cơ thể suy yếu, nguy cơ nhiễm trùng tăng cao. Do vậy, vi khuẩn sẽ dễ dàng xâm nhập và tấn công và tủy răng, các mô mềm trong răng và gây ra bệnh viêm lợi có mủ.
Một số trường hợp, phụ nữ có thai cũng là đối tượng dễ mắc các bệnh lý về răng miệng vì sự thay đổi hormone trong thai kỳ dễ khiến cho hệ miễn dịch suy yếu so với bình thường.
Viêm lợi có mủ nếu không được điều trị đúng cách và kịp thời sẽ gây ra các biến chứng nguy hiểm như: tụt nướu, hỏng tủy răng, mất răng vĩnh viễn…

Viêm lợi có mủ nếu không được điều trị đúng cách và kịp thời sẽ gây ra các biến chứng nguy hiểm như: tụt nướu, hỏng tủy răng, mất răng vĩnh viễn…
-
Những cách điều trị viêm lợi có mủ phổ biến?
Viêm lợi có mủ là tình trạng viêm nhiễm ở răng miệng và có giai đoạn phát triển từ thể nhẹ đến nặng. Ở mỗi giai đoạn, các bác sĩ sẽ chỉ định thăm khám và đưa ra phác đồ điều trị khác nhau.
Chính vì thế, để có thể điều trị dứt điểm bệnh lý này, người bệnh cần phải chữa trị dứt điểm các nguyên nhân gây ra bệnh, điển hình là cao răng. Việc tự ý điều trị tại nhà là điều các nha sĩ khuyên không nên thực hiện vì đây chỉ là các biện pháp chỉ có tác dụng giảm đau tạm thời chứ không thể chữa trị dứt điểm, thậm chí, nhiều trường hợp, việc điều trị sai cách còn xảy ra các biến chứng khác nguy hiểm hơn cho người bệnh.
Điều trị viêm lợi có mủ ở giai đoạn viêm cấp
Ơ giai đoạn này, do tình trạng bệnh còn khả nhẹ, do đó, nha sĩ thường chỉ định người bệnh sử dụng kháng sinh để chống phù nề, nhiễm trùng đi kèm với các loại thuốc giảm đau để giúp người bệnh giảm đau và có thể sinh hoạt thoải mái hơn.
Điều trị viêm lợi có mủ ở giai đoạn ổn định
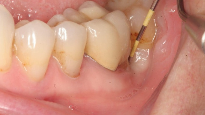
Khi tình trạng viêm lợi đã được kiểm soát ổn định sau một thời gian điều trị, thì nha sĩ sẽ có phác đồ điều trị dứt điểm các nguyên nhân gây bệnh để ngăn ngừa tình trạng bệnh có thể tái phát.
Bệnh viêm lợi có mủ thông thường bắt nguồn từ việc vệ sinh răng miệng không đúng cách, từ đó dẫn đến các mảng bám trở thành cao răng. Khi cao răng hình thành ngày càng nhiều, gặp môi trường thuận lợi thì vi khuẩn càng phát triển và gây bệnh dễ dàng.
Chính vì vậy, ở giai đoạn này, các nha sĩ thường sẽ hướng dẫn lại cách chăm sóc răng miệng đúng cách cũng như loại bỏ hết cao răng và tiến hành làm sạch ổ viêm để bệnh tình thuyên giảm nhanh chóng hơn.
-
Những biện pháp phòng ngừa viêm lợi có mủ hiệu quả?
Để phòng ngừa bệnh lý viêm lợi có mủ, người bệnh cần phải tìm hiểu rõ các nguyên nhân gây ra bệnh để từ đó có các biện pháp phòng ngừa hiệu quả.
Hãy luôn chú ý việc vệ sinh răng miệng đúng cách, kỹ càng, đánh răng và vệ sinh khoang miệng thường xuyên. Bên cạnh đó, việc lấy cao răng định kỳ cũng là một trong những phương pháp quan trọng để có thể ngăn ngừa các bệnh về răng miệng tốt hơn.

Bệnh viêm lợi có mủ thông thường bắt nguồn từ việc vệ sinh răng miệng không đúng cách, từ đó dẫn đến các mảng bám trở thành cao răng
Nếu có bất kỳ các dấu hiệu của bệnh lý viêm lợi có mủ, người bệnh cần phải đến các cơ sở nha khoa uy tín để các nha sĩ thăm khám và điều trị nhằm ngăn ngừa các biến chứng nguy hiểm. Để được giải đáp mọi thắc mắc liên quan đến răng miệng hay bệnh lý khác, quý khách hàng vui lòng liên hệ vào số hotline 0933 08 0099 của phòng khám nha khoa Wilson để được tư vấn và giải đáp.
Bài cùng danh mục
0933 08 0099
Đặt lịch hẹn





