Bật mí: Hàn răng được bao lâu? Tuổi thọ bao nhiêu năm
Hàn răng được bao lâu? Tuổi thọ của mối hàn sẽ dao động từ 3 – 5 năm tuỳ thuộc vào nhiều yếu tố khác nhau. Tuổi thọ của mối...
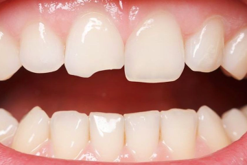
Hàn răng mẻ có đau không? Hàn răng mẻ giá bao nhiêu
Hàn răng mẻ là gì? Hàn răng mẻ là kỹ thuật sử dụng vật liệu nha khoa chuyên biệt để lấp đầy phần răng bị thiêys nhằm khôi phục thẩm...
Hàm răng giả tháo lắp là gì? Ưu nhược điểm ra sao?
Hàm răng giả tháo lắp là gì? Hàm răng giả tháo lắp hay hàm giả tháo lắp là phương pháp phục hình lại răng đã bị mất với trường hợp...
Điểm danh các kỹ thuật nâng xoang phổ biến nhất hiện nay
Nâng xoang là gì? Hàm trên ở bên phải và bên trái thường có 1 xoang hàm nằm trong xương hàm trên. Những người bị mất răng lâu ngày thường...
Tại sao phải ghép xương răng trong trồng răng Implant?
Ghép xương răng là gì? Ghép xương răng hay còn gọi là cấy ghép màng xương trong trồng răng Implant là thủ thuật sử dụng các miếng màng xương nhân...
Đánh bóng răng là gì? Những lưu ý khi thực hiện
Thế nào là phương pháp đánh bóng răng? Đánh bóng răng là thủ thuật nha khoa giúp hỗ trợ làm nhẵn bóng bề mặt của răng, từ đó giúp răng...
Gắn đá răng là gì? Những lưu ý khi thực hiện
Tìm hiểu chung về phương pháp gắn đá lên rang Phương pháp gắn đá răng là gì? Gắn đá răng là phương pháp thẩm mỹ nha khoa đang được yêu...
Làm cầu răng sứ có tốt hay không? Sử dụng được bao lâu?
Hiểu đúng cầu răng sứ là gì? Cầu răng sứ là giải pháp khôi phục 1 hoặc nhiều chiếc răng mất cố định phổ biến nhất hiện nay. Giống như...
Phẫu thuật cắt lợi đẹp và uy tín tại Nha khoa Wilson
Phương pháp cắt lợi là gì? Theo y học, cười hở lợi không thuộc về bệnh lý mà chỉ liên quan đến vấn đề thẩm mỹ. Những người có phần...
Tại sao nên điều trị cắt phanh môi tại Nha khoa Wilson
Phẫu thuật cắt phanh môi là gì? Cắt phanh môi là một phẫu thuật đơn giản để loại bỏ hay làm giảm căng các phanh ở bên trong miệng. Có...
Điểm danh các phương pháp điều trị viêm nha chu
Viêm nha chu là bệnh gì? Theo số liệu thống kê, viêm nha chu là bệnh lý được xếp đầu danh sách các bệnh về răng nhiều nhất. Bệnh là...
Viêm lợi là gì? Điều trị viêm lợi thế nào cho hiệu quả?
Những biểu hiện và nguyên nhân gây ra bệnh viêm lợi Viêm lợi là một trong những tình trạng phổ biến và rất dễ gặp phải. Số lượng vi khuẩn...
bài Xem nhiều
0933 08 0099
Đặt lịch hẹn















![[THÔNG BÁO] – LỊCH NGHỈ LỄ 30/4 – 1/5/2024](https://nhakhoawilson.vn/wp-content/uploads/2024/04/Web-bai-viet-700x500-1-263x175.jpg)