Giải đáp thắc mắc: Lấy cao răng có làm trắng răng không?
Lấy cao răng có làm trắng răng không? Trước khi đi tìm đáp án cho câu hỏi lấy cao răng có trắng răng không, hãy cùng hệ thống Nha khoa...
Cách lấy cao răng tại nha khoa Wilson có gì đặc biệt?
Một số tác hại khôn lường của cao răng Cao răng được hình thành từ các mảnh vụn thức ăn và muối trong nước bọt cùng một số khoáng chất...
Hệ thống nha khoa Wilson – Địa chỉ lấy cao răng Hà Nội uy tín
Tìm hiểu về cao răng Cao răng hay vôi răng là những cặn cứng của muối vô cơ gồm canxi carbonat và phosphate. Chúng là các cặn mềm mảnh vụn...
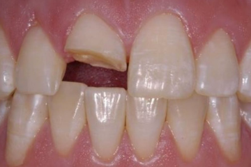
Hàn răng cửa giá bao nhiêu? Trường hợp nào có thể hàn răng cửa?
Sâu răng cửa có hàn được không? Theo các bác sĩ nha khoa thì răng cửa bị sâu có thể hàn bình thường, vì đây là phương pháp áp dụng...
Cách lấy cao răng tại nhà bằng nguyên liệu tự nhiên
Thế nào là mảng bám răng (vôi răng)? Mảng bám trên răng (cao răng, vôi răng) hay còn gọi lớp vật chất cứng trên răng. Chúng thường xuất hiện và...
Có nên lấy cao răng? Lấy cao răng bao nhiêu tiền?
Lấy cao răng là gì, lấy cao răng bao nhiêu tiền? Để biết được chính xác việc có nên lấy cao răng hay không, lấy cao răng bao nhiêu tiền trước...
Hàn răng sâu giá bao nhiêu? Những yếu tố ảnh hưởng tới giá hàn răng
Để giải đáp những thắc mắc trên, Nha khoa Wilson mời mọi người cùng theo dõi bài viết dưới đây để có câu trả lời chính xác nhất. Tại sao...
Hàn răng sâu có đau không? Các trường hợp nên hàn răng sâu
Hàn răng là gì? Hàn răng sâu là một kỹ thuật thông dụng trong nha khoa, sử dụng các vật liệu hàn răng để bù đắp các khoảng trống và...
Hàn tủy răng có tốt không? Có được vĩnh viễn không?
Tủy răng nằm ở đâu? Cấu tạo của một chiếc răng răng gồm có 3 thành phần: Men răng: Là lớp ngoài cùng bao bọc toàn bộ chiếc răng. Ngà...
Hàn răng sâu có ảnh hưởng gì không? Những trường hợp răng sâu nên hàn
Hàn răng là gì? Để biết chính xác hàn răng sâu có ảnh hưởng gì không, chúng ta cần tìm hiểu rõ bản chất của phương pháp hàn răng là...
Bà bầu bị sâu răng có hàn được không?
Sâu răng có ảnh hưởng đến thai nhi không? Sâu răng là một bệnh lý răng miệng, ở đó vi khuẩn sẽ phá hoại cấu trúc của răng, tạo nên...
Tại sao hàn răng rồi vẫn đau? Nguyên nhân và cách khắc phục thế nào?
Các trường hợp đau răng sau khi hàn cần chú ý Hàn răng là kỹ thuật nha khoa sử dụng vật liệu chuyên dụng để bù vào phần răng khuyết...
bài Xem nhiều
0933 08 0099
Đặt lịch hẹn















![[THÔNG BÁO] – LỊCH NGHỈ LỄ 30/4 – 1/5/2024](https://nhakhoawilson.vn/wp-content/uploads/2024/04/Web-bai-viet-700x500-1-263x175.jpg)