0933 08 0099
Đặt lịch hẹn
Toggle navigation
Giới thiệu
Về chúng tôi
Quy trình khám chữa bệnh
Dịch vụ
Trồng răng Implant
Trường hợp mất 1 răng
Trường hợp mất nhiều răng liền kề
Trường hợp mất răng toàn hàm
Niềng răng
Răng sứ thẩm mỹ
Nha khoa tổng quát
Đội ngũ bác sĩ – Chuyên gia
Kiến thức nha khoa
Tin tức
Khách hàng
Sự kiện
Sức khỏe
Kiến thức nha khoa
Điểm danh 3 cách lấy cao răng bằng đường nâu hiệu quả nhất
Cách lấy cao răng tại nhà bằng muối hiệu quả nhất
Chuyên gia giải đáp: Bọc răng sứ có lấy cao răng được không?
Bao nhiêu tuổi thì lấy cao răng? Địa chỉ lấy cao răng uy tín
Chuyên gia giải đáp: Bị viêm lợi có nên lấy cao răng không?
Chuyên gia giải đáp: Bầu có lấy cao răng được không?
Làm cao răng xong kiêng gì để răng chắc khỏe?
Giải đáp thắc mắc : Sau khi lấy cao răng bao lâu thì được ăn?
Lấy cao răng mất bao lâu? Có đau hay không?
Nên sử dụng máy lấy cao răng tại nhà hay đến nha khoa?
Tìm hiểu quy trình lấy cao răng tại nha khoa Wilson
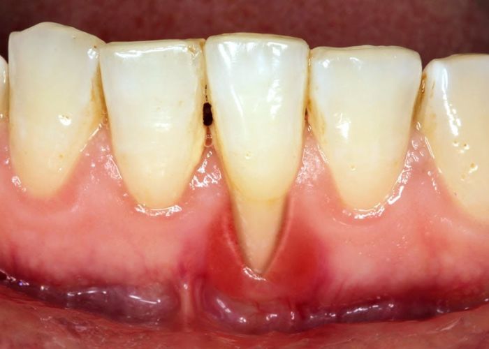
Nguyên nhân gây ra tình trạng lấy cao răng bị hở chân răng
<<
1
…
30
31
32
33
34
…
36
>>