0933 08 0099
Đặt lịch hẹn
Toggle navigation
Giới thiệu
Về chúng tôi
Quy trình khám chữa bệnh
Dịch vụ
Trồng răng Implant
Trường hợp mất 1 răng
Trường hợp mất nhiều răng liền kề
Trường hợp mất răng toàn hàm
Niềng răng
Răng sứ thẩm mỹ
Nha khoa tổng quát
Đội ngũ bác sĩ – Chuyên gia
Kiến thức nha khoa
Tin tức
Khách hàng
Sự kiện
Sức khỏe
Kiến thức nha khoa
Tư vấn: Răng lung lay có bọc răng sứ được không?
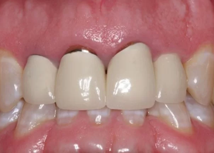
Bọc răng sứ phần chân răng bị hở do nguyên nhân nào?
Vì sao công nghệ bọc răng sứ Nano 5S được ưa chuộng
Có nên thực hiện bọc sứ răng khểnh không?
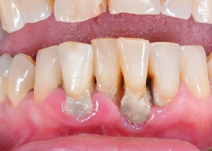
Răng bọc sứ bị sưng nướu nguyên nhân do đâu?
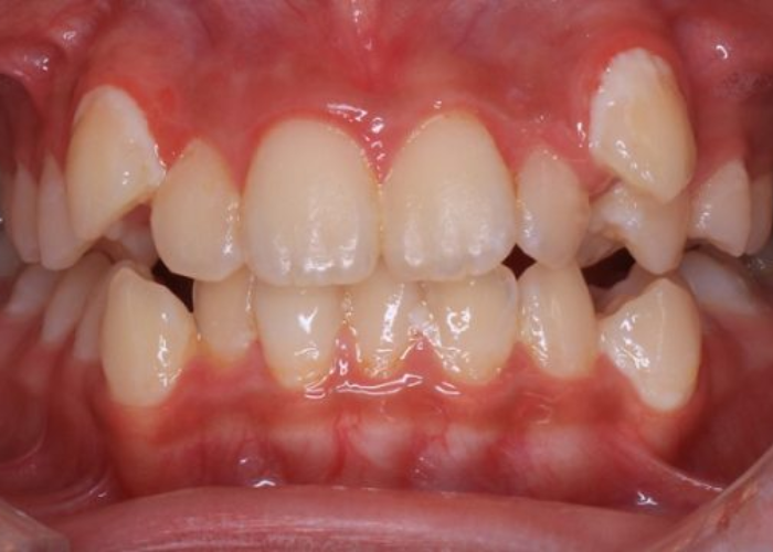
Răng khấp khểnh nhiều có bọc sứ được không?
Giải đáp: Răng thưa nên niềng hay bọc răng sứ?
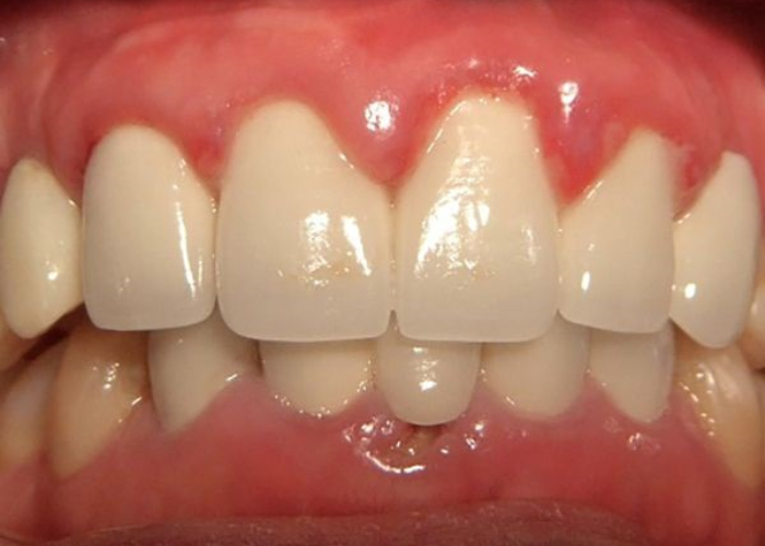
Trước và sau khi bọc răng sứ cần lưu ý những điều gì?
Những biến chứng của bọc răng sứ bị lệch khớp cắn
Nha khoa Wilson kém chất lượng? Thông tin đúng hay sai?
Nha khoa Wilson lừa đảo có phải là sự thật không?
Răng bọc sứ bị viêm tủy nguyên nhân do đâu?
<<
1
2
3
4
5
6
…
36
>>