Những biến chứng sau khi bọc răng sứ bạn có thể gặp phải
Những biến chứng sau khi bọc răng sứ là gì? Ảnh hưởng xấu ra sao? Cùng Wilson Dentistry liệt kê các biến chứng sau khi bọc răng sứ ở bài viết dưới đây nhé!
-
5 biến chứng có thể xảy ra sau khi bọc răng sứ
Răng bọc sứ bị viêm tủy
Tình trạng viêm tủy sau khi bọc răng sứ xảy ra khá phổ biến và để lại nhiều phiền toái cho bạn. Đặc biệt là khi biến chứng này có thể gây ra những ảnh hưởng xấu đến sức khỏe răng miệng của bạn như giật khớp hàm, sưng đau,… Nếu không được điều trị kịp thời thì rất có thể bạn sẽ phải nhổ đi chiếc răng thật đó vĩnh viễn.
Gây ra hôi miệng, viêm nướu
Có nói, đây là một trong những biến chứng sau khi bọc răng sứ dễ gặp phải nhất. Việc viêm nướu sẽ khiến cho nướu sưng to, tiết ra nhiều dịch nướu, từ đó gây ra hôi miệng. Điều này không ảnh hưởng đến sức khỏe răng miệng mà còn khiến bạn cảm thấy tự ti trong giao tiếp vì hơi không được thơm tho của mình.
Răng sứ bị đau nhức và ê buốt kéo dài
Cảm giác đau nhức nhẹ trong một vài ngày đầu tiên sau khi bọc răng sứ thẩm mỹ là điều bình thường. Tuy nhiên, nếu cơn đau kéo dài từ 1 tuần trở lên thì rất có thể bạn đã bị viêm tủy răng sau khi điều trị. Hoặc cũng có thể là vì trước khi làm răng bọc sứ, bác sĩ vẫn chưa điều trị triệt để tình trạng viêm tủy răng của bạn.
Tình trạng đau nhức cũng có thể do răng bị mài quá nhiều và cấu trúc răng bị can thiệp quá sâu nên sau khi kết thúc quá trình, bạn sẽ luôn trong tình trạng đau nhức và khó chịu.
Ngoài ra, việc đau nhức răng kéo dài cũng có thể do sang chấn khớp cắn dẫn tới lực nhai dồn quá nhiều lên chân răng sứ, từ đó gây ra hiện tượng đau nhức kéo dài.
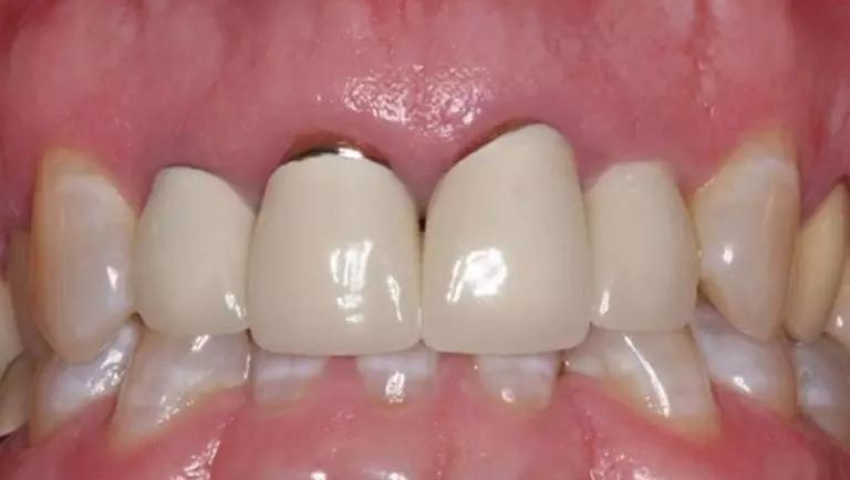
Cổ chân răng bị hở

Nếu sau khi bọc răng sứ, bạn thấy phần nướu xung quanh các chân răng sứ bị chảy xệ xuống để lộ ra cổ chân răng thật thì chắc chắn khả năng cao bạn đã gặp phải biến chứng sau khi bọc răng sứ. Vì sao có tình trạng này xảy ra? là bác sĩ đã thực hiện sai kỹ thuật, rất có thể khi tiến hành gắn mão sứ lên răng, bác sĩ dán không khít đường tiếp xúc giữa chân răng với mão sứ nên đã tạo ra khoảng trống này.
Tình trạng này càng kéo dài sẽ làm cặn thức ăn lọt vào khe hở, rất khó vệ sinh. Điều này sẽ tạo điều kiện để vi khuẩn gây bệnh phát triển.
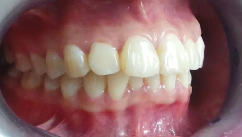
Khớp cắn lệch

Một biến chứng nữa có thể xảy ra sau khi bọc răng sứ, đó là bị lệch khớp cắn. Đây cũng là nguyên nhân của việc bọc răng sứ sai kỹ thuật, khiến cho tương quan giữa hàm răng trên và dưới không đạt tỷ lệ chuẩn, làm ảnh hưởng đến chức năng ăn nhai của khách hàng.
Tình trạng này càng để lâu sẽ khiến khuôn mặt trở nên mất cân đối, trường hợp nặng hơn còn có thể tác động đến khớp cắn thái dương hàm và rất khó điều trị.
-
Nguyên nhân gây ra các biến chứng sau khi bọc răng sứ
Có rất nhiều nguyên nhân dẫn đến các biến chứng sau khi bọc răng sứ như:
- Bác sĩ không đủ trình độ chuyên môn: tay nghề bác sĩ kém, bọc răng sứ không đúng kỹ thuật, thao tác thực hiện sai sẽ dẫn đến những rủi ro nghiêm trọng đối với khách hàng.
- Trang thiết bị máy móc lạc hậu: Cơ sở vật chất kém cũng là một trong những nguyên nhân khiến cho quá trình thực hiện trồng răng sứ dễ xảy ra sai sót, không đạt đúng kỹ thuật.
- Mão sứ sử dụng trong trồng răng không đảm bảo đúng chất lượng: Mão sứ kém chất lượng, nguồn gốc sản xuất không rõ ràng sẽ là nguyên nhân trực tiếp gây ra nhiều biến chứng nghiêm trọng sau khi bọc sứ.
- Không biết cách chăm sóc răng miệng tại nhà: Đôi khi biến chứng sau khi bọc mão sứ lại đến từ việc bạn chăm sóc răng miệng sai cách, vệ sinh răng miệng thiếu kỹ lưỡng, không loại bỏ hết mảng bám nên gây ra hôi miệng, viêm nướu.
-
Làm sao để răng sứ không bị biến chứng?
Chăm sóc răng sứ kỹ lưỡng và đúng cách
Không phải ai cũng thực hiện đúng quá trình chăm sóc răng sứ. Để duy trì tuổi thọ lâu dài của răng sứ, bạn cần chải răng nhẹ nhàng, sử dụng bàn chải lông mềm và lựa chọn kem đánh răng phù hợp. Bên cạnh đó, để làm sạch sâu khoang miệng, bạn nên sử dụng thêm nước súc miệng chuyên dụng.
Lựa chọn nha khoa uy tín để tránh những biến chứng sau khi bọc răng sứ
Để tránh những biến chứng nguy hiểm có thể xảy ra sau quá trình bọc răng sứ, khách hàng cần phải cân nhắc kỹ lưỡng và lựa chọn đúng địa chỉ nha khoa uy tín để thực hiện bọc răng sứ.

Với đội ngũ bác sĩ có trên 10 năm kinh nghiệm cùng trang thiết bị hiện đại, Wilson Dentistry tự hào là phòng khám nha khoa được nhiều khách hàng lựa chọn là địa chỉ đáng tin cậy để thực hiện bọc răng sứ thẩm mỹ. Hãy liên hệ ngay qua số hotline 0933 08 0099 để được đặt lịch tư vấn và thăm khá sớm nhất tại nha khoa Wilson.
Bài cùng danh mục
0933 08 0099
Đặt lịch hẹn





