Đeo nong hàm bao lâu thì có thể đạt hiệu quả
Đeo nong hàm khi chỉnh nha là như thế nào? Trước khi có thể giải đáp thắc mắc đeo nong hàm bao lâu thì trước tiên chúng ta tìm hiểu cơ bản...
Tẩy trắng răng laser whitening có hiệu quả tức thì không?
Ai có thể tẩy trắng răng? Tẩy trắng răng là kỹ thuật giúp răng trở nên trắng sáng hơn. Ai cũng muốn muốn mình có thể sở hữu một hàm...
Đèn tẩy trắng răng là gì? Những ai có thể sử dụng đèn tẩy trắng răng
Hiểu đúng về đèn tẩy trắng răng nha khoa Đèn tẩy trắng răng là phương pháp kết hợp chất tẩy trắng răng với năng lượng ánh sáng để tạo phản...
Tẩy trắng răng có đau không? Công nghệ tẩy trắng răng phù hợp những ai?
Muốn hiểu hơn về bản chất của việc tẩy trắng răng, mời bạn theo dõi bài viết sau đây của nha khoa Wilson để hiểu rõ nhé. Tẩy trắng răng...
Những cách giảm ê buốt răng sau khi tẩy trắng răng
Tình trạng ê buốt răng sau khi tẩy trắng xuất hiện do đâu Trước khi tìm hiểu cách giảm ê buốt răng sau khi tẩy trắng răng, chúng ta cần...
3 loại máy tẩy trắng răng được nhiều người dùng nhất
Để giải đáp những thắc mắc này, mời các bạn cùng theo dõi bài viết dưới đây của Nha khoa Wilson nhé! Máy tẩy trắng răng là gì? Máy tẩy...
Nong hàm để làm gì? Những lưu ý sau khi nong hàm
Giải đáp thắc mắc: Nong hàm để làm gì? Nong hàm là kỹ thuật giúp nới rộng vòm hàm giúp cho khung hàm cân đối, đủ chỗ để răng di...
Nong hàm có đau không? Những lưu ý khi thực hiện
Thế nào là phương pháp nong hàm trong chỉnh nha? Để tìm lời giải đáp nong hàm có đau không, trước hết chúng ta cần phải định nghĩa về nong...
Giải đáp: Nong hàm có thay đổi khuôn mặt không?
Mục đích của kỹ thuật nong hàm là gì? Nong hàm là kỹ thuật nhằm hỗ trợ quá trình chỉnh nha được diễn ra thuận lợi, bằng cách sử dụng...
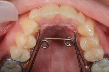
Thế nào là nong hàm bằng dây cung? và các kỹ thuật nong hàm hiện nay
Thế nào là nong hàm bằng dây cung? Nong hàm bằng dây cung là kỹ thuật phổ biến được ứng dụng trong nha khoa nhằm mục đích nới rộng vòm...
Tẩy trắng răng giá bao nhiêu? Nguyên nhân khiến răng bị xỉn màu
Tẩy răng trắng là gì? Trước khi tìm hiểu tẩy trắng răng giá bao nhiêu? chúng ta cùng tìm hiểu về phương pháp tẩy trắng răng thực chất là gì?...
Bột tẩy trắng răng là gì? Có nên dùng bột tẩy trắng răng không?
Trong bài viết dưới đây, Nha khoa Wilson sẽ cung cấp đầy đủ thông tin kiến cơ bản cần thiết để mọi người cùng tham khảo. Bột tẩy trắng răng...
bài Xem nhiều
0933 08 0099
Đặt lịch hẹn















![[THÔNG BÁO] – LỊCH NGHỈ LỄ 30/4 – 1/5/2024](https://nhakhoawilson.vn/wp-content/uploads/2024/04/Web-bai-viet-700x500-1-263x175.jpg)