Có nên tẩy trắng răng? Tẩy trắng răng có hại men răng không?
Tẩy trắng răng là gì? Tẩy trắng răng là phương pháp dùng các chất oxy hóa thấm qua lớp men răng răng, kết hợp với ánh sáng để cắt đứt...
Phương pháp điều trị tủy răng sữa cho trẻ em
Vì sao điều trị tủy răng sữa rất cần thiết với trẻ nhỏ? Răng sữa của trẻ bị sâu, viêm tủy răng, thông thường các nha sĩ đều yêu cầu điều...
Những phương pháp điều trị răng chết tủy
Răng chết tủy là như thế nào? Răng khỏe mạnh được cấu tạo bởi 3 lớp: men răng, ngà răng, tủy răng. Tủy răng là lớp nằm ở trong cùng...
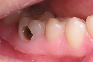
Viêm tủy răng là gì? Các phương pháp điều trị viêm tủy răng
Thế nào là bệnh viêm tủy răng? Tủy răng nằm ở vị trí hốc giữa ngà răng và bao gồm nhiều tổ chức khác nhau như thần kinh, mạch máu,…...
Điều trị tủy răng mất bao lâu? Các yếu tố ảnh hưởng
Thế nào là điều trị tủy răng? Điều trị tủy răng là thủ thuật nhằm loại bỏ phần tủy đã bị nhiễm trùng, tổn thương khỏi thân và chân răng....
Có nên điều trị tủy răng cho bà bầu không?
Tại sao phụ nữ mang thai hay mắc các bệnh răng miệng? Phụ nữ mang thai sẽ có sự thay đổi về hormone đó là estrogen và Progesterone. Hai hormone...
Tìm hiểu phương pháp điều trị tủy răng bằng máy Protaper
Tìm hiểu chung về phương pháp điều trị tủy bằng máy protaper? Điều trị tủy răng hay còn gọi là điều trị nội nha nhằm lấy sạch mô tủy viêm, tổn...
Các loại thuốc kháng sinh điều trị viêm tủy răng
Điểm danh các loại thuốc kháng sinh điều trị viêm tủy răng phổ biến? Viêm tủy răng gây ra tình trạng đau nhức, khó chịu và ảnh hưởng lớn đến...
Hàn răng có được bảo hiểm không? Quy trình, thủ tục trám răng BHYT
Để có thể tìm hiểu cặn kẽ hàn răng có được bảo hiểm không, mời các bạn cùng tham khảo bài viết dưới đây của hệ thống Nha khoa Wilson....
Răng số 8 bị sâu có hàn được không? Quy trình hàn răng số 8
Để biết răng số 8 bị sâu có hàn được không? mời mọi người cùng tìm hiểu bài viết dưới đây của Nha khoa Wilson nhé! Răng số 8 bị...
Răng sứ bị vỡ có hàn được không? Cách phòng tránh răng sứ bị mẻ
Bọc răng sứ thẩm mỹ là gì? Bọc răng sứ thẩm mỹ là sử dụng răng được làm hoàn toàn từ chất liệu sứ cao cấp hoặc sứ kết hợp...
Thế nào là răng sâu vào tủy? Quy trình hàn răng sâu vào tủy
Để hiểu hơn về hàn răng sâu vào tủy, mời các bạn cùng theo dõi bài viết dưới đây của hệ thống Nha khoa Wilson nhé! Thế nào là răng...
bài Xem nhiều
0933 08 0099
Đặt lịch hẹn















![[THÔNG BÁO] – LỊCH NGHỈ LỄ 30/4 – 1/5/2024](https://nhakhoawilson.vn/wp-content/uploads/2024/04/Web-bai-viet-700x500-1-263x175.jpg)