Bút tẩy trắng răng có tốt không? Các loại bút tẩy trắng răng
Trong bài viết dưới đây, Hệ thống Nha khoa Wilson cung cấp các thông tin bút tẩy trắng răng có tốt không để các bạn cùng hiểu. Bút tẩy trắng...
Top 5 loại thuốc tẩy trắng răng tốt nhất hiện nay
Thuốc tẩy trắng răng tốt nhất hiện nay- Eucryl Thuốc tẩy trắng Eucryl là một sản phẩm nổi tiếng đến từ Anh quốc. Đây là sản phẩm tẩy trắng răng...
Cạo vôi răng và tẩy trắng răng bao nhiêu tiền
Cạo vôi răng là gì? Cao răng hay còn được gọi là vôi răng, chúng thường có màu vàng bám dính ở vị trí cổ chân răng. Cao răng được...
Răng sau khi điều trị tủy cần được chăm sóc và bảo vệ thế nào?
Răng sau khi điều trị tủy có phải là răng chết không? Tủy răng là mô liên kết đặc biệt gồm các mạch máu và thần kinh, nằm sâu trong...
Điều trị tủy răng số 7: Nguyên nhân và quy trình điều trị
Khái niệm viêm tủy răng số 7 là gì, nguyên nhân gây bệnh? Viêm tủy răng số 7 xảy ra khi chiếc răng số 7 bị sâu, phần tủy lộ ra...
Những cách điều trị viêm tủy răng ở trẻ em hiệu quả
Bệnh viêm tủy răng ở trẻ nhỏ, nguyên nhân do đâu? Viêm tủy răng trẻ nhỏ thường xảy ra do 2 nguyên nhân chính sau đây: Nguyên nhân chính dẫn đến...
Tư vấn: Bà bầu có được điều trị tủy răng không?
Tư vấn: Bà bầu có được điều trị tủy răng không? Phụ nữ mang thai bị viêm tủy răng nên điều trị vào thời điểm nào sẽ an toàn là trăn...
Giải đáp thắc mắc: Điều trị tủy răng có đau không?
Tổng quan về phương pháp về điều trị tủy răng Thế nào là điều trị tủy răng? Điều trị tủy răng là biện pháp loại bỏ đi phần tủy đã...
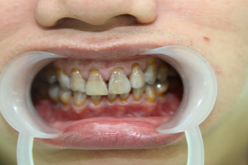
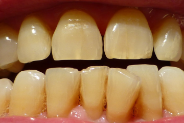
Tẩy trắng răng nhiễm kháng sinh có được không?
Răng nhiễm Tetracycline là gì? Tetracycline là một loại kháng sinh phổ biến, có tác dụng đối với nhiều loại vi khuẩn gây bệnh. Tetracycline được chỉ định trong điều...
Tẩy trắng răng kiêng gì? Lưu ý không được bỏ qua
Tại sao sau khi tẩy trắng răng cần kiêng? Tẩy trắng răng là phương pháp giúp khắc phục tình trạng răng xỉn màu, ố vàng. Hơn nữa, quá trình tẩy...
Răng bị ố vàng có tẩy trắng được không?
Nguyễn nhân khiến răng bị ố vàng Răng ố vàng là tình trạng phổ biến, có thể bắt gặp ở nhiều người. Không chỉ gây mất thẩm mỹ và răng...
Các cách tẩy trắng răng tại nhà hiệu quả mà bạn cần biết
Các cách tẩy trắng răng tại nhà hiệu quả Tẩy trắng răng bằng muối: Trong thành phần của muối sẽ chứa chất kháng viêm, làm trắng hiệu quả. Đây là...
bài Xem nhiều
0933 08 0099
Đặt lịch hẹn















![[THÔNG BÁO] – LỊCH NGHỈ LỄ 30/4 – 1/5/2024](https://nhakhoawilson.vn/wp-content/uploads/2024/04/Web-bai-viet-700x500-1-263x175.jpg)