Chuyên gia giải đáp: Bị viêm lợi có nên lấy cao răng không?
Giải đáp: Bị viêm lợi có nên lấy cao răng hay không? Lợi là phần ngoài cùng vùng xung quanh răng, tiếp xúc với các loại thức ăn và có...
Chuyên gia giải đáp: Bầu có lấy cao răng được không?
Lý do mẹ bầu nên chăm sóc răng đặc biệt Trước khi tìm hiểu bầu có lấy cao răng được không, chúng ta hãy cùng nhau tìm hiểu lý do...
Làm cao răng xong kiêng gì để răng chắc khỏe?
Lấy cao răng là gì? Cao răng là các mảng bám đã bị vôi hoá bởi cặn mềm và nước bọt trong khoang miệng. Chúng thường bám chặt trên răng...
Giải đáp thắc mắc : Sau khi lấy cao răng bao lâu thì được ăn?
Tại sao cần phải lấy cao răng? Cao răng hay vôi răng là chất lắng cặn của các muối vô cơ gồm phosphate và canxi carbonat phối hợp với vụn...
Lấy cao răng mất bao lâu? Có đau hay không?
Lấy cao răng mất bao lâu? Lấy cao răng có lâu không? Ngày nay, với công nghệ hiện đại, các bạn không cần lo lắng đến câu chuyện lấy cao...
Nên sử dụng máy lấy cao răng tại nhà hay đến nha khoa?
Có nên dùng máy lấy cao răng tại nhà không? Vôi răng hay cao răng là những mảng bám quanh răng mà chúng ta có thể nhìn thấy bằng mắt...
Tìm hiểu quy trình lấy cao răng tại nha khoa Wilson
Một số tác hại khôn lường của cao răng Cao răng hay vôi răng được hình thành từ các mảnh vụn thức ăn, một số khoáng chất trong khoang miệng...
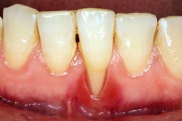
Nguyên nhân gây ra tình trạng lấy cao răng bị hở chân răng
Nguyên nhân gây ra hiện tượng lấy cao răng bị hở chân răng Lấy cao răng là kỹ thuật nha khoa thường quy mà tất cả các phòng khám nào...
Tại sao lấy cao răng xong bị chảy máu liên tục?
Nguyên nhân gây ra hiện tượng lấy cao răng xong bị chảy máu liên tục Lấy cao răng hay cạo vôi răng là kỹ thuật nha khoa giúp loại bỏ...
Hàn răng xong có được đánh răng không? Những lưu ý cần nhớ
Hàn răng sâu là gì? Trước khi tìm hàn răng xong có được đánh răng không chúng ta hãy cùng tìm hiểu bản chất của phương pháp hàn răng sâu...
Răng bị vỡ có hàn được không? Cách phòng tránh răng bị vỡ
Bài viết dưới đây của Nha khoa Wilson sẽ giải đáp thắc răng bị vỡ có hàn được không cùng những vấn đề liên quan tới hàn răng vỡ. Mời...
Hàn răng xong kiêng gì? Những loại vật liệu trám răng phổ biến nhất hiện nay
Răng sâu có nên hàn ngay Sâu răng là hiện tượng răng bị vi khuẩn gây hại tấn công làm tổn thương các cấu trúc răng, tạo ra các lỗ...
bài Xem nhiều
0933 08 0099
Đặt lịch hẹn















![[THÔNG BÁO] – LỊCH NGHỈ LỄ 30/4 – 1/5/2024](https://nhakhoawilson.vn/wp-content/uploads/2024/04/Web-bai-viet-700x500-1-263x175.jpg)